Юрий Николаевич Кошевенко
Кошевенко Юрий Николаевич — доктор медицинских наук, учёный, который за 30 лет своей научно-практической деятельности стал известен как дерматоиммунолог, дерматокосметолог, психосоматолог, айюрведун и, наконец, писатель. Автор 197 научных работ (в том числе 21 рацпредложения) и 14 книг, соавтор 5 изобретений. В 1980—1990 годы (20 лет) был ведущим специалистом в СССР по проблеме витилиго.
Генеалогия[править]
Родоначальник, выходец с Белой Руси — был в Сечи кошевым атаманом Запорожского Войска (от него пошла и фамилия Кошевенко — то есть «сын кошевого»). Один из потомков его после ликвидации Екатериной II Запорожской Сечи вернулся в родные края и основал многочисленный род Щекотовских Кошевенок. Так, прапрадед Ю. Н. — Максим, прадед Артём, дед Ефим (1880—1938 гг.), отец Николай (1920—1993 гг.) были родом из деревни Щекотовá Мозырского уезда, Гомельской губернии/области Беларуси.
Предки Ю. Н. по матери родом из села Подлесное Хрущёво Данковского уезда Рязанской губернии (ныне Липецкой области).
Юрий Николаевич Кошевенко родился 14 апреля 1945 года в Москве в семье военнослужащих.
Отец — Николай Ефимович Кошевенко был тогда капитаном медицинской службы.
Мать — Валентина Петровна Кошевенко (1920—1972, в девичестве Золотых) — младшим лейтенантом службы связи.
Женат 48 лет на Ольге Константиновне Кошевенко (1947 г.р. урождённой Рачковой) Она — врач высшей категории функциональной диагностики.
Краткая биография и научная карьера[править]
В 1962 году Ю. Н. Кошевенко окончил среднюю школу № 140 в г. Моршанске Тамбовской области.
В 1963 году поступил в Рязанский медицинский институт им. И. П. Павлова, но в 1967 году перевёлся во 2-й МОЛГМИ им. Н.И Пирогова, который и закончил в 1969 году.
Начиная с 5 курса, стал активно работать в студенческом научном кружке при кафедре кожных и венерических болезней 2 МОЛГМИ.
1969 по 1971 год учился в клинической ординатуре при той же кафедре, с 1971 по 1974 года — в аспирантуре.
По окончании аспирантуры работал ассистентом кафедры до 1979 года.
В 1979—1990 гг. — зав. отделом косметической дерматологии МНИИК МЗ РСФСР.
С 1991 по 1998 гг. — ведущий сотрудник Института Профилактической Медицины и ВНИИМПФЗ МЗ РФ. Одновременно — Директор «Научно-практического Центра медицинской реабилитации психосоматических дерматозов» и руководитель «Школы Естественного Оздоровления на основе Айюрведы».
В 1998—1999 гг. — зам директора по научной работе НПО «Косметология» МЗ РФ.
В 2000—2001 гг. — ректор НОУ «Академия косметологии».
За время карьеры занимался научной, лечебной и педагогической деятельностью.
В 2001 году оставил научную карьеру по состоянию здоровья и занялся писательским трудом, чтобы поделиться накопленными знаниями.
Научная деятельность[править]
I. Как дерматовенеролог Ю. Н. Кошевенко состоялся, прежде всего, благодаря усилиям к.м.н. Евгения Васильевича Леонтьева, учившего его на цикле кожно-венерических болезней в РМИ, и — в ординатуре и аспирантуре 2 МОЛГМИ, будучи зав стационаром МГВКД.
Его учителем в научной дерматологии был профессор Борис Александрович Сомов
За время своей научной карьеры Ю. Н. в этом разделе научной деятельности получил в 1987 году Авторское Свидетельство на изобретение № 1355293 (в соавт.) и опубликовал 29 научных трудов, (в том числе 3 — за рубежом).
II. Как дерматоиммунолог Ю. Н. Кошевенко состоялся, работая над кандидатской диссертацией. Его учителями были главный дерматоаллерголог проф. Б. А. Сомов и прекрасный иммунолог д.м.н. Диомид Владимирович Стефани. Большую роль сыграла и работа в лабораториях кафедры патофизиологии и аллергологии 2 МОЛГМИ акад. А. Д. Адо с проф. В. И. Пыцким и проф. А. А. Подколзиным, а также знакомство с трудами главного иммунолога СССР акад. Рема Викторовича Петрова.
Достижения Ю. Н. в этом разделе деятельности:
- Принял активное участие в создании первых отечественных антииммуноглобулиновых сывороток, помогая, будучи аспирантом, в 1971—1972 гг. Д. В. Стефани.
- Принял активное участие в отработке первого в мире применения антиоксидантов при ПУВА-терапии дерматозов, помогая в 1976—1977 гг. в качестве клинициста биофизикам 2 МОЛГМИ во главе с А. Я. Потапенко.
- Первым из отечественных дерматологов стал изучать в крови больных содержание сывороточных иммуноглобулинов по методу Mancini! Понятно, с помощью наработанных им совместно с Д. В. Стефани, прекрасных антиммуноглобулиновых сывороток. Вот одни из результатов тех исследований на стеклянных плато (очерчен контроль):
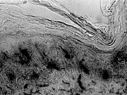
- Именно, Кошевенко Ю. Н. в 1972 году первым в отечественной дерматологии поставил реакции тканевой иммунофлюоресценции РИФ Coons (и прямую, и непрямую), более того получил препараты самые лучшие из существовавших! Вот они:
Таких качественных и показательных микропрепаратов при красной волчанке не получал больше никто — ни в СССР, ни за рубежом. Почему? Да потому, что Ю. Н. делал в микротоме-криостате срезы тканей толщиной всего 4 микрона (тогда как все остальные — 10-15 микрон). Делал с помощью надеваемого на нож своего «Приспособления для снятия срезов», оформленного как рац.предложение № 14.
- Ещё в 1974 году Ю. Н. Кошевенко в своей кандидатской диссертации доказывал, что системная и кожная красная волчанка — это не одно и то же, и даже не две стадии одного патологического процесса. Это — два разных заболевания с похожими, но неоднозначными аутоиммунными механизмами.
- Кандидатская диссертация Ю. Н. Кошевенко «Материалы сравнительного изучения клинико-иммунологических показателей у больных красной волчанкой и склеродермией» в Учёном Совете 2 МОЛГМИ признана лучшей из всех, защищённых в 1975 г.
- В 2001 году впервые в стране Ю. Н. Кошевенко в «Российском журнале кожных и венерических болезней» № 4, представил патогенетические механизмы ДКВ. На схеме:
Схема аутоиммунных механизмов при ДКВ:
Где: УФО — ультрафиолетовое излучение, кЛ- клетки Лангерганса, Т-кл — Т-лимфоциты, В-кл — В-лимфоциты, АГ — патоантигены, АТ — антитела:
- В 2001 году Ю. Н. Кошевенко первым в мире предложил использовать для лечения аутоиммунных дерматозов (в частности ДКВ) в качестве иммуномодулирующего средства «системную энзимотерапию», получив при этом в качестве соавтора Патент на изобретение № 2175244.
Кроме того, по данному разделу своей научной деятельности Ю. Н. опубликовал 20 научных трудов (в том числе 2 — за рубежом) и сделал 4 рац.предложения.
III. Как дерматокосметолог Ю. Н. Кошевенко состоялся благодаря заботам строгого, но справедливого к нему Директора МНИИК к.м.н. Антонины Федоровны Ахабадзе.
Достижения Ю. Н. в этом разделе деятельности:
За время своей научной карьеры Ю. Н. в этом разделе деятельности получил в 1987 году Авторское Свидетельство № 1355293 (в соавт.), сделал 6 рац.предложений и опубликовал 29 научных трудов, (в том числе — 3 за рубежом), сделал около 2 десятков научных докладов.
IV. Как психосоматолог Ю. Н. Кошевенко образовался после обучения на Курсе Всесоюзного научно-методического Центра пограничной психиатрии при ВНИИОСП им. Сербского у к.м.н. Людмилы Николаевны Сόбчик, которая и обеспечила его методикой СМИЛ для самостоятельной работы.
Достижения Ю. Н. в этом разделе деятельности:
- Первым в мире позволил себе выделить особую группу кожных заболеваний — «Психосоматические дерматозы». В которую он включил кроме обыкновенного витилиго ещё, и вульгарный псориаз, и диффузный нейродермит, и алопецию ареата. Впервые этот термин с его подачи появился в Материалах VI Всероссийского съезда дерматологов и венерологов в Челябинске в 1989 году.
А позднее обосновал с новых (в том числе и айюрведических) позиций сложнейшие патогенетические механизмы этих распространённых и трудно лечимых дерматозов, показал их общности и различия, дал схему каждой патологии и комплексы для лечения каждого заболевания (в 1993 году).
Основные научные труды в этом направлении научной деятельности были посвящены проблеме «Витилиго». В своей работе Ю. Н. использовал нейрофизиологические, психологические, вегетативные, иммунологические, гистохимические, электронно-микроскопические методы. Последние, кстати, выполнялись на базе знаменитой «Мавзолейной Лаборатории», лелеющей тело В. И. Ленина. Там ему активно помогали проф. И. Н. Михайлов и к.м.н. В. И. Сёмкин.
- Кошевенко Ю. Н. первым из отечественных дерматологов в 1983 году стал изучать в коже клетки Лангерганса (тканевые макрофаги), очень важный элемент тканевого иммунитета. И доказал их важнейшую роль в патогенезе витилиго!
- Кошевенко Ю. Н. впервые в мире делал это сразу в двух проекциях (вертикальной и горизонтальной) по разработанной самим же комбинированной методике (рац.предложение № 36):
Подобные исследования в стране больше никогда и никем не проводились.
- Кошевенко Ю. Н. в 1989 году впервые в мире обосновал новую «психосоматическую» теорию этиопатогенеза витилиго, наконец-то объясняющую многие нюансы болезни.
Затем такие же теории были обоснованы им и при других «психосоматических дерматозах» (вульгарном псориазе, диффузном нейродермите и алопеции ареата).
- В 1993 году Кошевенко Ю. Н. впервые в мире разработал и стал применять на практике «Комплекс терапевтических, оздоровительных и профилактических мероприятия для лечения витилиго» — самый эффективный из всех существующих до сего времени! «Метод доктора Кошевенко» (как его теперь называют в Интернете).
Одновременно такие же комплексы были разработаны и для других «психосоматических дерматозов» (вульгарный псориаз, диффузный нейродермит и алопеция ареата) и изданы дважды — как «Практическое пособие для больных».
Результатом его работы над проблемой витилиго стали: 1 изобретения, 19 рац. предложений (в том числе 4 отраслевого значения), 85 научных трудов (статей, методических писем и пр.), «бронзовая» медаль ВДНХ и докторская диссертация «Роль иммунологических, вегетативных и психологических нарушений в патогенезе витилиго и методы их комплексной коррекции».
- С 1984 года Ю. Н. Кошевенко для лечения своих больных (витилиго и алопецией ареата) использовал разработанные им и собственноручно собранные первые отечественные длинноволновые ультрафиолетовые облучатели:
И отдал Ю. Н. Кошевенко проблеме витилиго в общей сложности 35 лет жизни!
- Но главным итогом этой многоплановой работы стала первая и единственная за всю 150-летнюю историю российской дерматовенерологии фундаментальная монография под простым названием «Витилиго» (2002 г.)
В ней подробно изложены и все знания о болезни, все мысли и доказательства автора, и методики её эффективного комплексного лечения.
Кстати, в 2015 году эта книга была переведена на сербский язык.
- Практическим итогом этого раздела научной работы Ю. Н. стала серия книг под названием: «Психосоматические дерматозы», предназначенных непосредственно для больных. Первая из них «Вульгарный псориаз. Психосоматические проблемы» издана в 2013 году. Две ещё «Обыкновенное витилиго. Психосоматические аспекты» и «Диффузный нейродермит. Психосоматические механизмы» ждут своего часа.
- Ещё одним практическим выходом по этому разделу стал первый отечественный «Справочник по дерматокосметологии», весьма популярный у специалистов (бывший в «Доме медицинской книги» постоянно «лидером продаж» и переиздававшийся трижды).
V. Айюрведуном Ю. Н. Кошевенко сделала Судьба, индийский д-р Шиварамкришна и собственное аналитическое мышление.
В июне 1991 года Ю. Н. совершенно случайно попал на врачебные курсы под названием «Аюрведа Махариши» проводимые в России от Международного Фонда Махариши под крылом «Института Профилактической Медицины». По окончании курсов ему была присвоена категория «врач аюрведы», хотя он предпочитает называть себя по-русски «айюрведуном». Но Ю. Н. оказался единственным из обученных врачей, который не только смог применить полученные знания на практике, но и углубиться в научное изучение проблемы.
Достижения Кошевенко Ю. Н. в этом разделе научной деятельности:
- Ю. Н. Кошевенко стал первым в мире обоснованно утверждать, что Айюрведа не «индийская наука жизни», а древнерусская Ведическая Система Естественного Оздоровления! И в переводе с санскрита она означает — «Знание Долгой Жизни»!
- И ещё Ю. Н. доказал то, что так называемые «древнегреческие» конституциональные типы человека (холерик, флегматик, меланхолик и пр.) — есть не что иное как компиляция более древних айюрведических типов (ватик, питтик, кафик).
- В 1993 году Ю. Н. создал 4 «Комплекса лечебных профилактических и оздоровительных процедур» для больных психосоматическими дерматозами, в которых использовал айюрведические подходы и методы оздоровления и издал их дважды — как «Практическое пособие для больных» ((1993 г и 2012 г.).
- В 1995 году Ю. Н. издал первую отечественную монографию на эту тему под названием «Аюрведа — ваш путь к здоровью», в которой есть глава «Примеры практического использования Системы Естественно Оздоровления».
- В 2002 году Ю.Н, издал свою первую в России фундаментальную монографию «Витилиго», где представил для использования на практике подходы и методы Айюрведы.
- В 2008 году Ю. Н. издал II том своего Руководства «Кожа человека» 15 глава, в которой посвящена вопросам Айюрведы.
- В 2010 году Ю. Н. издал вторую книгу на эту тему под названием «Здоровья Кодекс Айюрведы», созданную по типу древних медицинских трактатов, использовавших чередование стихотворных и прозаических разделов.
Кроме того, он написал 21 работу на эту тему в различные издания и сделал более десятка докладов на различных форумах.
Лечебная деятельность[править]
Лечебная деятельность Ю. Н. Кошевенко заключалась в основном в работе с тематическими больными, в процессе которой он их и обследовал, и лечил новейшими методами.
- В 1970 годы занимался с больными красной волчанкой и склеродермией на базе МГКВД, поликлиник УХЛУ № 2, 6.
- В 1980-е годы занимался с больными обыкновенным витилиго на базе НИИ Косметологии, «Института красоты» и медкооперативов «Ледер» и «Медицина».
- С 1987 года первым в мире (на основании своего Авторского Свидетельства № 1355293) стал использовать при ПУВА-терапии витилиго, а затем и других психосоматических дерматозов (вульгарного псориаза, алопеции аеата) антиоксидант альфа-токоферол, чем значительно повысил её эффективность, а главное — безопасность!
- В 1990-е годы занимался с больными психосоматическими дерматозами (обыкновенное витилиго, вульгарный псориаз, диффузный нейродермит и алопеция ареата) на базе созданного им «Научно-практического Центра медицинской реабилитации психосоматических дерматозов».
- 20 лет (1980—1990 гг.) носил неофициально звание «ведущий специалист по витилиго»
Для работы с больными создал 4 «Комплекса лечебных, профилактических и оздоровительных мероприятий», которые издал в виде «Практического пособия для больных». Более того, новой методике лечения витилиго он обучил около 100 дерматологов косметологических лечебниц и КВД из 48 городов СССР, стажировавшихся в 1980 г. в МНИИК.
За время работы лично принял более 2000 больных витилиго и около 500 больных тремя другими дерматозами, тратя на работу с каждым не менее 3 часов.
- В 1998 году Ю. Н. Кошевенко впервые в мире обосновывал практическое применение в дерматологии «системной энзимотерапии» для иммунокорреции при иммуногенных и аутоиммунных дерматозах. Прежде всего, ДКВ.
- В 1999 году Ю. Н. организовал и провёл первую в России Научно-практическую конференцию с международным участием «Новые аспекты Системной Энзимотерапии», прошедшую с большим резонансом! На неё были приглашены многие корифеи дерматологии, педиатрии, хирургии и офтальмологии из Москвы, России и ФРГ.
Ю. Н. Кошевенко не только вёл её, делал доклады, но и создал и издал для неё красочные буклеты и научный сборник.
В качестве практического итога этой работы стали: и 3 патента на изобретение, 1 свидетельство на полезную модель, оформленных автором благодаря знаниям патентоведа высшей категории, 1 методичка и 15 публикаций в различных изданиях и ряд научных докладов на различных форумах.
- В 2004 году в 13 главе 2 тома своего двухтомного Руководства «Кожа человека» он дал все обоснования для применения «системной энзимотерапии» в дерматологии.
- В 2013 году в своей книге «Вульгарный псориаз. Псохосоматические аспекты» включил «системную терапию» в «Комплекс лечебных мероприятий» при данной патологии.
- Наконец, с 1977 года 20 лет Ю. Н. работал консультантом отдела писем журнала «Здоровье», отвечая на письма трудящихся по дерматовенерологии и дерматокосметологии.
Педагогическая деятельность[править]
- В 1970-е годы учил студентов на кафедре кожных и венерических болезней.
- В 1980-е годы читал лекции врачам на курсах в НИИ Косметологии.
- В 1993 году организовал в Москве первую в стране «Школу Естественного Оздоровления на основе Айюрведы» для населения.
- В 1991 году открыл первые в СССР хозрасчётные курсы по подготовке врачей-дерматокосметологов на загородной базе под Звенигородом в санатории «Поречье» с проживанием и питанием, которые проработали три года.
- В 2000 году зарегистрировал первое официальное учебное учреждение (НОУ) «Академия Косметологии» со всеми положенными лицензиями, печатями, уставом, программами обучения и переподготовки кадров для Косметологической Службы страны и пытался утвердить в Минздраве новую специальность «врач-дерматокосметолог».
Однако все попытки Ю. Н. Кошевенко (зама по науке НПО «Косметология») убедить Минздрав РФ в неестественности отсутствия данной специальности и надлежащего ей обучения результата не дали.
Библиография[править]
Монографии[править]
Всего написано 14 книг, 9 из них напечатал, остальные будут выложены в Интернет в электронном виде)
Аюрведа. Ваш путь к здоровью[править]
Первая отечественная книга по древне русской Ведической Системе Естественного Оздоровления, в которой есть глава, рассматривающая варианты практического применения Системы в дерматологии. Имела самый большой тираж из книг автора (25 тысяч экземпляров) . В настоящее время - "раритет", ибо весь тираж был раскуплен в течение года. М.: "Советский спорт" 1995, 208 с.
Витилиго[править]
Первая за всю историю существования отечественной дерматологии (160 лет) фундаментальная монография, посвящённая витилиго. Кстати, в мировой литературе тоже нет ничего подобного. В настоящее время представляет собой "раритет", ибо весь тираж раскуплен, а книга в подобном виде переиздаваться не будет. Но подготовлено к печати новое издание на эту тему "Обыкновенное витилиго. Психосоматическая сущность". М.: "Косметика и медицин".2002, 644 с.
Справочник по дерматокосметологии[править]
Первый отечественный справочник на эту тему, в котором представлена информация обо всей известной патологии кожи, представляющей собой косметические дефекты и недостатки (609 нозологических единиц и их клинических разновидностей). Во 2 части книги даны основные, известные на день издания методы косметической, терапевтической и дерматохирургической коррекции. Самое популярное у специалистов издание - "лидер продаж". Ныне в продаже остатки 3 тиража (как в магазинах специализированной литературы так и на сайте у автора). М.: "Академия косметологии", 2004, 296 с.
Кожа человека. 1 том[править]
В I томе Руководства "Структура, физиология и предназначение функциональных элементов кожного органа человека" собраны воедино и осмыслены все имеющиеся в мировой литературе данные, которые впервые рассмотрены здесь с позиций деления кожного покрова на отдельные функциональные элементы и компоненты. Самая уникальная информация в главе №7 "Система одорантной индикации" - никем, нигде и никогда ранее не описанная. Книга раскуплена. М.: "Медицина" , 2006, 360 с., 132 рис.
Кожа человека. 2 том[править]
Во II томе Руководства "Варианты патогенного воздействия на структуру, функции кожи, причины, патофизиологические основы и принципы лечения её болезней" впервые главное внимание уделено "патофизиологии кожи" ни разу за 160 лет отечественной дерматологии в ней никем не описанной. Уникальны главы №13, 14, 15. Патология здесь рассматривается по структурно-функциональным элементам кожного органа. Книга раскуплена. Но возможно переиздание под название "Патология кожи человека". М.: "Медицина", 2008,754 с.. 128 рис.
Здоровья кодекс Аюрведы[править]
Вторая книга автора о Ведической Системе Естественного Оздоровления - Айюрведе. Главная оригинальность её в том, что она написана по канонам древних медицинских трактатов, "Салернского Кодекса Здоровья", в частности. Т.е. в виде чередования стихотворных и прозаических разделов. Но на высоком научном уровне. Эта книга - своеобразный краткий справочник, содержащий азы древних айюрведических знаний в виде 620 практических рекомендаций для поддержания и сохранения здоровья человека. В продаже (как в магазинах специализированной литературы так и на сайте у автора). М.: "Адвансед Солюшенз" 2010, 240 с.
Псориаз вульгарный[править]
Первая опубликованная книга автора из серии "Психосоматические дерматозы", впервые классифицированных им в 1989 году. Издание предназначено не только для врачей, но и для больных. В ней читатель найдёт всё, что надо и для понимания сущности этого заболевания и для его безвредного и эффективного лечения и реабилитации комплексом методов, включающим и айюрведические подходы и методы естественно оздоровления. В продаже (как в магазинах специализированной литературы так и на сайте у автора). М.: "Адвансед Солюшнз", 2013, 304 с, 42 рис.
Татаро-монгольское побоище[править]
Этот труд - уникальная военно-историческая реконструкция подвигов рязанского князя Романа Коломенского во время Нашествия Батыя на Северо-Восточную Русь 1237-1238 годов. Книга предназначена для восстановления исторической справедливости и с целью дезавуировать подлую летописную дезинформацию Даниила Галицкого об осаде Козельска. В продаже (как в магазинах специализированной литературы так и на сайте у автора). М.: "Адвансед Солюшнз", 2015, 480 с, 192 рис.
Кожа человека[править]
Данная монография - второе издание исходного Руководства 2006-2008 гг. на базе его I тома "Структура, физиология и предназначение функциональных элементов кожного органа человека". Переиздание совершено "по просьбе трудящихся", т.е. книгопродавцов под давлением специалистов, не успевших приобрести данное Руководство первого издания. В продаже (как в магазинах специализированной литературы так и на сайте у автора). М.: "Адвансед Солюшнз", 2016, 360 с, 132 рис.



























