Врожденная адентия
Врожденная адентия — врожденный дефект зубного ряда, выражающийся в частичном или полном отсутствии зубов.
При врожденной адентии определяются нарушения морфологии зубочелюстной системы врожденного характера[1].
Врожденная (первичная) адентия занимает значительное место в структуре стоматологических заболеваний. Развитие первичной адентии обусловлено многими факторами. Клинические проявления адентии весьма разнообразны, возникают характерные морфологические и функциональные нарушения в зубочелюстно-лицевой области, степень выраженности которых нарастает с увеличением количества отсутствующих зубов.
Классификация[править]
МКБ – 10
Блок (К00-К14)
К00 — нарушения развития и прорезывания зубов
К00.0 — адентия
К00.00 — частичная адентия (гиподентия) (олигодентия)
К00.01 — полная адентия
История[править]
Исследованием этиологии и патогенеза врожденной адентии занимались российские ученые Ф.Я.Хорошилкина (1960), Н.В.Бондарец (1990)[2], Н.А.Рабухина (1998), В.А.Дистель (2001)[3], Л.С.Персин 2007[4]. Они изучали особенности аномалии и разрабатывали подходы к лечению.
По данным отечественной и зарубежной литературы, распространенность аномалии – в пределах от 1.5 до 8%.
По данным Н.В.Бондарец (1990)[2], врожденное отсуствие отдельных зубов наблюдается у 0.9% пациентов, обратившихся за ортодонтической помощью. При этом у 100 % пациентов с частичной адентией временных зубов отсутствовали зачатки постоянных зубов, а у 92.46 соответствующие постоянные зубы.
По данным Т.В.Шаровой (1991), первичная адентия у детей и юных пациентов в возрасте от 3 до17 лет была выявлена в 0.02 % случаев. А.В.Анохина и соавт. (2006) отмечают, что частота первичной адентии в сочетании с аномалиями формы зубных рядов у детей от 3 до 6 лет наблюдается в 2.4 % случаев. Среди школьников 13 – 17 лет данная патология в 4.7 % случаев сочеталась с аномалиями положения отдельных зубов и нарушениями прикуса (Е.П.Евневич, 2002)[5]. Л.С.Персин и соавт. выявили врожденное отсутствие 2 зубов и меньше у 57.14 % пациентов. У 28.57 % отсутствовали от 2 до 4 зубов, у 14.29 % более 4 зубов. Как правило, адентии подвержены в основном латеральные резцы, причем эти зубы могут отсутствовать как с одной, так и с двух сторон.
По данным разных ученых, первичная адентия боковых зубов верхней челюсти встречается у 1.5 -- 8 % пациентов, посетивших ортодонта, и занимает 3-е место по частоте после адентии вторых премоляров и третьих моляров. А.А.Тюкова и соавторы сообщают о том, что у пациентов с врожденной адентией, как правило, отсутствуют верхние боковые резцы, верхние и нижние вторые премоляры и резцы нижней челюсти. При этом центральные резцы верхней челюсти, верхние и нижние клыки, а также первые моляры отсутствуют редко, такое встречается лишь у некоторых пациентов с тяжелой степенью адентии.
Классификация[править]
→ Адентия
Адентию классифицируют по причинам развития и времени возникновения:
· первичная или врожденная адентия
· вторичная или приобретенная адентия
· адентия временных и постоянных зубов
Если отсутствуют зачатков зубов, говорят о врожденной адентии. Если соседние коронки слились или наблюдается ретенция (зачаток зуба не прорезывается полностью из кости или десны, при этом зуб может скрываться в тканях), адентию называют ложной.
По количеству отсутствующих зубов адентию подразделяют на частичную, если недостает несколько зубов, множественную или полную, когда зубов нет совсем. При частичной адентии может отсутствовать до 10 зубов, чаще всего это верхние боковые резцы, вторые премоляры и третьи премоляры. Если у пациента отсутствует больше 10 зубов, адентию называют множественной.
Этиология и патогенез[править]
Причина адентии как врожденной патологии зубного ряда кроется во внутриутробном периоде[4]. Риск развития адентии тем больше, чем сильнее у матери нарушен обмен веществ, не хватает микроэлементов в питании или из-за различных заболеваний. У ребенка могут отсутствовать зачатки некоторых зубов, как правило, это верхние боковые резцы, вторые премоляры и зубы мудрости. Полная врожденная адентия, когда отсутствуют все зубы, встречается редко. Обычно такая аномалия сопровождается и другой врожденной патологией - недоразвитием хрусталика, волос, ногтей, нервной системы[6].
Эпидемиология[править]
Как зарубежные, так и отечественные исследователи подчеркивают, что распространенность первичной адентии зависит от многих факторов, а не только от питания и болезней матери или других факторов, влияющих на нее в течение беременности[7]. Развитие первичной адентии зависит в том числе от места проживания, длительности проживания в той или иной области, от окружающей среды, ее загрязненности. Например, если в регионе развита нефтеперерабатывающая промышленность, случаи первичной адентии встречаются чаще.
При этом точная причина развития адентии не установлена[8]. Однако предполагается, что отсутствие зачатка зуба может происходить под влиянием токсинов – как внешних, так и внутренних, связанных с воспалительными заболеваниями матери. Некоторые исследователи считают, что проблема формируется в эмбриональном периоде по причине эндокринопатий и наследственных факторов. Наследственный характер развития адентии подтвержден в 63.1 % случаев. Ряд авторов подчеркивают связь первичной адентии с хромосомными заболеваниями, объясняют развитие патологии наследственными факторами, давшими старт аномалии в неблагоприятной экологической обстановке. Еще одна гипотеза развития первичной адентии - нарушения минерального обмена во внутриутробном периоде.
- Первичная адентия как признак системного заболевания, наследственный фактор
Первичная адентия может указывать на системное заболевание. Например, сочетаться с гипогидротической эктодермальной дисплазией, хондроэктодермальной дисплазией, синдромом Дауна.
J. Parmanand (2003) сообщает, что нарушение развития, обусловленное расщелинами губы и неба с вовлечением альвеолярного отростка, может привести к утрате зубов в пораженной области, в частности, верхних боковых резцов. Р.Р. Шакирова и соавт. (2010) отмечают, что первичная адентия постоянных зубов у детей с врожденной расщелиной губы и/или неба встречалась достоверно чаще (34,3%), чем молочных (16,8%; р<0,05). Следует заметить, что врожденное отсутствие отдельных зубов нередко является семейной особенностью. В семьях большинства пациентов, страдающих первичной адентией, имеются другие члены семьи с тем же заболеванием. В исследованиях Н.В. Бондарец[2] (1990) установлено, что у 4,0% больных частичная адентия является семейной особенностью и встречается в 2,4 раза чаще у родственников женского пола и в 7,5 раза чаще — по материнской линии. Однако данных о частоте аналогичной аномалии у близких родственников недостаточно. Кроме того, нередко первичная адентия наблюдается у лиц, не имевших в роду подобной патологии.
Диагностика[править]
Учитывая, что смена прикуса у детей начинается примерно с 5 лет, для исключения адентии с ребенком необходимо посетить врача-ортодонта до начала смены молочного прикуса (в 3-4 года). Если молочный зуб выпал, а постоянный на этом месте никак не появляется, то врач порекомендует сделать панорамный рентгеновский снимок челюстей под названием «ортопантомограмма» (ОПТГ). Такой метод лучевой диагностики позволяет провести первичное исследование общего состояния зубов, височно-нижнечелюстных суставов, костной ткани челюстей и гайморовых пазух.
Клинические проявления адентии[править]
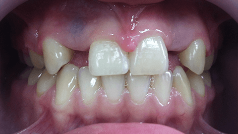
Клинические проявления адентии разнообразны. По причине отсутствия зубов возникают характерные морфологические и функциональные нарушения в зубочелюстно-лицевой области, причем степень выраженности этих нарушений нарастает с увеличением количества отсутствующих зубов. Тяжесть клинической картины зависит от функциональной принадлежности отсутствующих зубов, наличия или отсутствия контактов между зубами, персистентных зубов (сохранившиеся по ряду причин молочные зубы).
Полная первичная адентия — явление очень редкое. Внешне эта патология проявляется деформацией лицевого скелета. К признакам относят укороченную верхнюю губу, уменьшение высоты лица, выраженную супраментальную складку. У больного может отмечаться сухость слизистой оболочки и бледность, нарушение дикции. У детей врожденная форма патологии сопровождается недоразвитием ногтей, отсутствием бровей, слабым развитием волосистой области головы, плохим зарастанием родничка, плоским небом.
Первичная частичная форма заболевания возникает обычно из-за того, что у пациента не прорезались молочные зубы. Во время диагностического осмотра врач отмечает, что они не прощупываются и не видны на рентгенографическом снимке. Возникающее при данной патологии большое пространство между зубами приводит к смещению всего зубного ряда. Если у пациента нет большого количества зубов, как правило, диагностируют недоразвитие челюсти.
Осложнения[править]
Практически у всех людей с врожденной адентией развивается так называемый феномен Годона — когда соседние зубы перемещаются и наклоняются в сторону дефекта, а зубы-антагонисты смещаются в сторону отсутствующего зуба. При этом у детей, как правило, развивается зубоальвеолярная форма феномена Годона, когда деформируется не только зубной ряд, но и альвеолярный отросток. По наблюдениям исследователей, у пациентов с врожденной частичной адентией независимо от локализации дефекта происходит смещение зубов в мезиодистальном направлении, при этом резцы верхнего и нижнего зубных рядов смещаются латерально. Такое смещение приводит к нарушению смыкания пар антагонистов.
Наблюдаются также аномалии положения отдельных зубов в виде поворотов вокруг продольной оси. Ю.А. Гиоева и соавт. (2007)[9] обратили внимание, что при адентии на одной челюсти в зубном ряду антагонирующие зубы могут располагаться скученно или нагромождаться друг на друга. Отдельные зубы располагаются вне зубного ряда или ретенированы. При первичной адентии боковых резцов у пациентов формируются диастемы (увеличенный межзубный промежуток), тремы между клыками (щели между зубами), резцами и первыми премолярами, а также определяется несовпадение межрезцовых линий со средней линией лица. Отсутствие зубов приводит к возникновению различных форм патологического прикуса, обычно это дистальная окклюзия и глубокий прикус.
У пациентов с первичной адентией выявляются изменения зубных дуг, нарушение их взаимоотношения и наличие дефектов альвеолярного отростка беззубых челюстей. При полном отсутствии зубов происходит, прежде всего, атрофия альвеолярных отростков. Степень минерализации межальвеолярных перегородок у пациентов с частичной адентией ниже, чем у лиц с целостным зубным рядом. В исследованиях M. Faigenblum et al. (2007) отмечено, что у значительной части больных (28,8—35%) наблюдается врожденный или приобретенный (вследствие атрофических или воспалительных процессов) дефицит костного вещества в области отсутствующих зубов. При этом дефицит костного вещества альвеолярных отростков затрудняет и резко ограничивает ортопедическое лечение с применением внутрикостных имплантатов, особенно в случаях полной адентии.
В случае отсутствия определенного количества зубов пародонт оставшихся зубов испытывает функциональную перегрузку. Наблюдается уменьшение выносливости к горизонтальной нагрузке пародонта зубов, ограничивающих дефект. Нарушается микроциркуляции крови в десне, что свидетельствует о нарушении функционального состояния пародонта. При патологической подвижности и перемещении зубов происходит образование десневых и костных патологических карманов, гингивита, снижение межальвеолярной высоты, нарушения функции мышц и височно-нижнечелюстных суставов.
По результатам рентгенологических исследований, у пациентов с первичной адентией выявлено расширение и деформация периодонтальной щели, атрофия зубной альвеолы, образование костного кармана. Если такое единство нарушается, возникает функциональная диссоциация зубочелюстной системы, где для различных групп зубов создаются различные функциональные условия существования. Исследователи считают, что в результате трем и неправильного положения зубов развивается хронический локализованный гингивит (воспалительное заболевание десен). У больных с адентией отмечаются изменения лица – заметна его асимметрия, нарушается соотношение верхних и нижних губ, их смыкание, более глубокими становятся носогубные и подбородочные складки. Отсутствие зубов и, как следствие, недоразвитие альвеолярных отростков челюстей придают лицу ребенка типичное старческое выражение, такое же, какое бывает у пожилых людей с отсутствующими зубами. Кроме того, при полной или частичной утрате зубов у пациентов появляются не только эстетические, но и психологические проблемы.
Множественная адентия становится причиной неправильного глотания и произношения отдельных звуков, приводит к хроническим заболеваниям органов пищеварения вследствие проблем с жеванием. Имеются единичные сведения о нарушениях соотношения хронологического и костного возраста у детей и подростков и общих нарушениях в организме при частичной адентии. Однако важно подчеркнуть, что врожденное отсутствие зубов далеко не всегда сопровождается какими-либо нарушениями со стороны других органов и систем.
Лечение[править]
Лечение первичной и вторичной адентии имеет свои особенности. Для лечения врожденной патологии у детей назначается стимуляция прорезывания зубов. Замещают недостающие зубы у детей только после того, как прорезались семь постоянных. Протезирование при молочном прикусе показано с 3-4 лет. Иногда из-за чрезмерного давления протезов у детей может наблюдаться задержка роста челюсти.
Если же у пациента уже сформировался определенный прикус, ему назначают ортодонтическую подготовку и протезирование. Для восстановления утраченных зубов применяют обычно следующие методы:
- установка металлокерамических вкладок;
- имплантация;
- использование коронок из оксида циркония;
- адгезивный мост.
Профилактика[править]
Адентия нередко приводит к осложнениям для здоровья. Рекомендуется придерживаться профилактических мер для предотвращения первичной адентии и развития осложнений.
С момента планирования беременности необходимо поддерживать максимально благоприятные условия для нормального развития плода – питаться разнообразно, находиться в чистой экологической зоне. Если у малыша задерживается процесс прорезывания зубов, необходимо обратиться за консультацией к детскому стоматологу[10].
Примечания[править]
- ↑ Ортодонтия / Н.Г. Аболмасов, Н.Н. Аболмасов. — М.: МЕДпресс-информ, 2008. — 424 с.
- ↑ 2,0 2,1 2,2 Бондарец, Н.В. Стоматологическая реабилитация детей и подростков при врожденном частичном отсутствии зубов: автореф. дис. ... канд мед. наук / Н.В. Бондарец. — М., 1990. — 25 с.
- ↑ Дистель, В.А. Зубочелюстные аномалии и деформации /В.А. Дистель, В.Г. Сунцов, В.Д. Вагнер. — М.: Мед. книга; Н. Новгород: Изд-во НГМА, 2001. — 102 с.
- ↑ 4,0 4,1 Яковлева Марина Владимировна, Мустафаев Руслан Равилевич, Анохина Антонина Васильевна Современная клинико-эпидемиологическая характеристика врожденной адентии // Вестник современной клинической медицины. — 2013. — № 2.
- ↑ Клинико-функциональное обоснование методов лечения детей и подростков с истинной адентией: автореф. дис. … канд. мед. наук / Е.П. Евневич. — Смоленск, 2000. — 20 с.
- ↑ Стоматологические проявления наследственных болезней и синдромов / Ю.А. Беляков. — М.: Медицина, 1993. — 256 с.
- ↑ Распространенность и структура врожденных адентий в регионе с нефтехимической промышленностью / Л.С. Персин, С.В. Аверьянов, О.С. Чуйкин // Ортодонтия. — 2007. — № 3. — С.74.
- ↑ Эпидемиология и этиология врожденных пороков развития челюстно-лицевой области у детей региона Западной Сибири / В.Г. Сунцов, Р.А. Евмененко, А.В. Карницкий // Материалы XII и XIII Всерос. науч.-практ. конф. и тр. IX съезда Стоматологической ассоциации России: сб. науч. тр. — М., 2004. — С.487—488.
- ↑ Гиоева, Ю.А. Обоснование комплексного лечения больных с полной или частичной адентией, осложненной верхней микро- и/или ретрогнатией / Ю.А. Гиоева, С.Ю. Иванов, М.В. Квантаева // Ортодонтия. — 2007. — № 3. — C.34—37.
- ↑ Стоматологическая профилактика у детей / В.Г. Сунцов, В.К. Леонтьев, В.А. Дистель, В.Д. Вагнер. — М.: Мед. книга; Н. Новгород: Изд-во НГМА, 2001. — 344 с.
Литература[править]
- Ортодонтия / Н.Г. Аболмасов, Н.Н. Аболмасов. — М.: МЕДпресс-информ, 2008. — 424 с.
- Стоматологические проявления наследственных болезней и синдромов / Ю.А. Беляков. — М.: Медицина, 1993. — 256 с.
- Стоматологическая профилактика у детей / В.Г. Сунцов, В.К. Леонтьев, В.А. Дистель, В.Д. Вагнер. — М.: Мед. книга; Н. Новгород: Изд-во НГМА, 2001. — 344 с.
Одним из источников, использованных при создании данной статьи, является статья из википроекта «Рувики» («ruwiki.ru») под названием «Врожденная адентия», расположенная по адресу:
Материал указанной статьи полностью или частично использован в Циклопедии по лицензии CC-BY-SA 4.0 и более поздних версий. Всем участникам Рувики предлагается прочитать материал «Почему Циклопедия?». |
