Балканская эндемическая нефропатия
Балка́нская эндеми́ческая нефропати́я (БЭН) — это семейное, медленно прогрессирующее хроническое заболевание почек с исходом в почечную недостаточность неизвестной этиологии. Высокая распространённость БЭН зафиксирована в Сербии, Болгарии, Румынии, Боснии и Герцеговине и Хорватии. Наиболее характерными особенностями заболевания являются его эндемический характер, длительный латентный период до развития болезни, семейная склонность к заболеванию, а также чрезвычайно высокая частота рака верхних мочевых путей, связанного с БЭН [1].
История[править]
В 1956 году в медицинской литературе впервые появилось описание новой формы интерстициального заболевания почек. Исследования начались в 1950-х годах, когда врачи в Болгарии (район Враца) заметили высокую распространённость почечных болезней в отдельных деревнях. Тачев первым описал семейные и территориальные скопления случаев, назвав болезнь «эндемическим врачанским нефритом». Вскоре аналогичные случаи обнаружили в Югославии и Румынии. К 1965 году заболевание признали отдельной нозологической единицей и назвали балканской эндемической нефропатией. Оно встречалось только в сельских районах Балкан (Сербия, Босния, Хорватия, Болгария, Румыния), причём в строго ограниченных зонах, часто соседствующих со здоровыми деревнями [2].
Этиология[править]
На сегодняшний день предложено множество гипотез, объясняющих происхождение балканской эндемической нефропатии, однако ни одна из них не является полностью доказанной. Противоречивость имеющихся данных за и против различных теорий позволяет предположить, что развитие заболевания, скорее всего, связано с комплексным воздействием нескольких факторов [3].
Часть исследователей рассматривают БЭН как заболевание, обусловленное воздействием факторов окружающей среды. Основными предполагаемыми патогенными агентами считаются аристолохиевая кислота, микотоксины и плиоценовые лигниты [3].
Ряд исследований предполагает возможную вирусную природу БЭН. В качестве потенциальных возбудителей рассматриваются вирус Западного Нила, папилломавирусы, коронавирусы и аренавирусы. Однако обнаружение антител к этим вирусам не только у больных БЭН, но и у здоровых жителей эндемичных регионов существенно снижает достоверность вирусной гипотезы. Этот факт ставит под сомнение прямую связь между вирусной инфекцией и развитием заболевания [3].
Семейная предрасположенность к БЭН указывает на возможное участие генетических механизмов в её этиологии. Согласно современным представлениям, заболевание может развиваться вследствие сложного взаимодействия между наследственными мутациями и модифицирующими факторами внешней среды. При этом внешние воздействия способны потенцировать генетические изменения. Ключевым патогенетическим звеном считается нарушение дифференцировки почечной мезенхимы в постнатальном периоде, обусловленное генетическими дефектами [3].
Также имеются исследования, свидетельствующие о том, что БЭН может иметь эмбриональное происхождение. Исследователи предполагают, что различные неблагоприятные факторы во время беременности могли вызвать нарушения эмбриогенеза. Среди таких факторов рассматриваются [3]:
- Нутритивная недостаточность;
- Вирусные инфекции;
- Стрессовые воздействия военного времени .
Патогенез[править]
Основным патогенетическим механизмом БЭН считается хроническое воздействие аристолоховой кислоты, содержащейся в семенах растения Aristolochia clematitis, которые случайно попадают в зерновые культуры в эндемичных районах. После метаболизма в организме это вещество вызвывает характерные генетические мутации и приводит к повреждению почечных канальцев. Данный процесс провоцирует прогрессирующий интерстициальный фиброз с атрофией канальцев и склерозом клубочков [1].
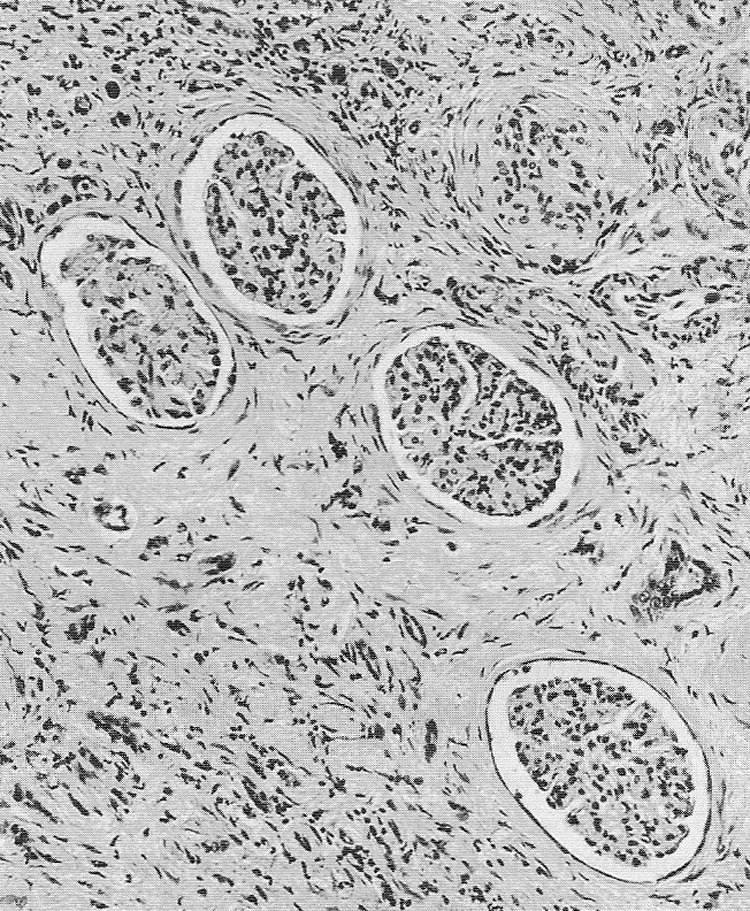
БЭН характеризуется прогрессирующими патологическими изменениями в почках, которые развиваются поэтапно. На ранней стадии заболевания поражаются преимущественно наружные отделы коркового слоя, где наблюдается расширение мезангия клубочков и утолщение их базальных мембран, сопровождающееся дистрофическими процессами в проксимальных канальцах [3].
По мере прогрессирования болезни патологические изменения становятся более выраженными. В субклинической стадии продолжается утолщение базальных мембран, причём в дистальных канальцах этот процесс менее интенсивен, чем в проксимальных. Одновременно развивается начальный интерстициальный склероз и появляются характерные сосудистые изменения - утолщение стенок артериол с неравномерным сужением их просвета [3].
В терминальной стадии происходит резкое уменьшение размеров почек (их масса может снижаться до 40 грамм при норме 115-170 грамм). Структура почечной ткани значительно изменяется: большинство канальцев коркового вещества полностью атрофируются, теряя эпителиальную выстилку, а повреждённые клубочки и канальцы замещаются соединительной тканью. Эти необратимые изменения приводят к полной утрате функциональной активности поражённых почек [3].
У значительной части пациентов с БЭН развиваются опухоли мочевыводящих путей. Наиболее распространённым онкологическим осложнением являются новообразования почечных лоханок, реже встречаются опухоли мочеточников, а поражение мочевого пузыря наблюдается значительно реже. Следует отметить, что примерно у каждого пятого пациента опухолевый процесс имеет множественную локализацию, поражая одновременно несколько отделов мочевой системы [3].
Эпидемиология[править]
БЭН распространена среди населения юго-восточной Европы, включая Болгарию, Румынию, Хорватию, бывшую Югославию и Боснию и Герцеговину. Точная статистика заболеваемости отсутствует, поскольку ранние и латентные формы БЭН часто остаются недиагностированными [3].
По приблизительным оценкам, не менее 25 000 человек страдают от этого заболевания или имеют подозрение на него, в то время как общее количество людей в группе риска в эндемичных районах может превышать 100 000. Болезнь начинает развиваться ещё в детском возрасте, однако на начальных стадиях не проявляется клинически [1][3].
В последние десятилетия отмечается тенденция к снижению заболеваемости БЭН, а средний возраст пациентов увеличился до 60–80 лет. Женщины подвержены БЭН чаще, чем мужчины [3].
Диагностика[править]
Клиническая картина
Клинические признаки и симптомы БЭН неспецифичны и часто остаются незамеченными в течение многих лет. Начальный бессимптомный период сменяется слабостью, утомляемостью, умеренными болями в пояснице, бледностью кожных покровов и медно-коричневым окрашиванием ладоней и подошв. В более старшем возрасте, с развитием заболевания, характерно появление признаков анемии со значительным снижением почечной функции, что указывает на развитие хронической болезни почек. Артериальное давление обычно остаётся нормальным, хотя в терминальной фазе может повышаться, но реже, чем при других формах хронической почечной патологи [1].
Лабораторная диагностика
Клинические анализ крови: возможная анемия на поздних стадиях нефропатии [1].
Клинический анализ мочи: характерна протеинурия, лейкоцитурия и эритроцитурия [1].
Инструментальная диагностика
Ультразвуковое исследование и компьютерная томография выявляются значительное уменьшение почек в размерах [1].
Биопсия почки с гистологическим исследование биоптата выявляется характерные морфологические изменения [1].
Диагностические критерии БЭН согласно консенсусу от 2013 года [4].
| Подтверждённые случаи БЭН |
|
| Подозреваемые случаи БЭН |
2. Альтернативные критерии:
3. Критерий для эндемичных сёл:
|
| Группа высокого риска по БЭН |
|
| Спорадические случаи БЭН | Гистологически подтверждённые случаи БЭН у пациентов с опухолями верхних мочевых путей (UUC), проживающих вне эндемичных регионов, либо у членов их семей. |
Дифференциальная диагностика[править]
Дифференциальная диагностика проводится со следующими состояниями [3]:
- хронический гломерулонефрит;
- хронический пиелонефрит;
- аналгетическая нефропатия.
Осложнения[править]
Для БЭН характерны осложнения, связанные с развитием хронической болезни почек. К ним относятся [5]:
Лечение[править]
Этиотропное лечение пациентов с БЭН не разработано [3].
При развитии хронической почечной недостаточности показано проведения гемодиализа [6].
У пациентов с раком верхних мочевых путей стандартным методом лечения является тотальная нефроуретерэктомия с иссечением участка мочевого пузыря вокруг устья мочеточника и регионарной лимфаденэктомией. Консервативный хирургический подход следует применять только у тщательно отобранных пациентов с двусторонними опухолями, когда необходимо сохранить функцию почки, при этом такие пациенты имеют повышенный риск местного рецидива. При нерезектабельных и метастатических формах заболевания показана системная химиотерапия [4].
Также возможно выполнение трансплантации почки [3].
Профилактика[править]
Профилактика БЭН включает несколько ключевых направлений [3]:
- прежде всего рекомендуется организовать переселение жителей из эндемичных районов в раннем возрасте на территории, где заболевание не встречается;
- необходимо минимизировать воздействие потенциальных причинных факторов, способствующих развитию болезни;
- внимание следует уделять избеганию браков между близкими родственниками, а также между партнёрами из семей, где ранее регистрировались случаи этого заболевания.
Диспансерное наблюдение[править]
Не разработано.
Примечания[править]
- ↑ 1,0 1,1 1,2 1,3 1,4 1,5 1,6 1,7 Pavlović, N.M. Balkan endemic nephropathy—current status and future perspectivesангл. // Clinical Kidney Journal : Journal article. — 2013. — том 6. — № 3. — С. 257–265. — ISSN 2048-8505. — DOI:10.1093/ckj/sft049 — PMID 26064484.
- ↑ Bamias, G.; Boletis, J. Balkan nephropathy: evolution of our knowledgeангл. // American Journal of Kidney Diseases : Journal article. — 2008. — том 52. — № 3. — С. 606–616. — ISSN 0272-6386. — DOI:10.1053/j.ajkd.2008.05.024 — PMID 18725017.
- ↑ 3,00 3,01 3,02 3,03 3,04 3,05 3,06 3,07 3,08 3,09 3,10 3,11 3,12 3,13 3,14 3,15 Лазарова М., Паскалев Д., Киемени Б. Таинственная сущность балканской эндемической нефропатии. Нефрология. 2007;11(2):39-44. https://doi.org/10.24884/1561-6274-2007-11-2-39-44
- ↑ 4,0 4,1 B. Jelakovi , J. Nikoli , Z. Radovanovi et all. Consensus statement on screening, diagnosis, classification and treatment of endemic (Balkan) nephropathy // Nephrology Dialysis Transplantation. — 2013-10-28. — В. 11. — том 29. — С. 2020–2027. — ISSN 0931-0509. — DOI:10.1093/ndt/gft384
- ↑ Vaidya, S.R.; Aeddula, N.R. Chronic Kidney Diseaseангл. // StatPearls [Internet] : Обзор. — Treasure Island (FL): StatPearls Publishing, 2025.
- ↑ Rade Cukuranovic, Ivan Jovanovic, Sladjana Miljkovic, Natalija Stefanovic, Slobodan Vlajkovic, Miomir Prokopovic, Vladisav Stefanovic Hemodialysis Treatment in Patients with Balkan Endemic Nephropathy: An Epidemiological Study // Renal Failure. — 2007-01. — В. 7. — том 29. — С. 805–810. — ISSN 0886-022X. — DOI:10.1080/08860220701573475
Литература[править]
- Ищенко Ксения Борисовна Эпидемиология, клиника и диагностика уротелиальных опухолей почечной лоханки и мочеточника: современное состояние проблемы // Злокачественные опухоли. — 2016. — № 2 (18). — DOI:10.18027/2224–5057–2016–2–66–71
Одним из источников, использованных при создании данной статьи, является статья из википроекта «Рувики» («ruwiki.ru») под названием «Балканская эндемическая нефропатия», расположенная по адресу:
Материал указанной статьи полностью или частично использован в Циклопедии по лицензии CC-BY-SA 4.0 и более поздних версий. Всем участникам Рувики предлагается прочитать материал «Почему Циклопедия?». |
