Парагонимоз
Парагонимоз (paragonimoses) — гельминтоз из группы трематодозов.
Характеризуется преимущественным поражением лёгких, подкожной клетчатки и скелетных мышц, реже — головного мозга.
Этиология[править]
Различают обычный (легочный) и ларвальный (личиночный) парагонимозы.
Возбудитель лёгочного парагонимоза — Paragonimus westermani (Paragonimus ringeri) — Лёгочный сосальщик. Тело Paragonimus westermani яйцевидной формы, красно-коричневого цвета, длиной 7,5−13 мм, шириной 4−8 мм, толщиной 3,5−5 мм. Поверхность тела покрыта шипиками. Брюшная присоска около середины тела. Яйца золотисто-коричневые, овальные, с крышечкой. Размеры яиц — 63−84 x 45−54 мкм. Яйца имеют золотисто-коричневый оттенок.
Возбудителями личиночного парагонимоза являются P. westermani ishunensis, P. miyazakii, P. hucitungensis, P. szechuanensis и др. Более 10 видов рода Paragonimus могут инфицировать людей.
Эпидемиология[править]
Заболевание обусловленное паразитированием Paragonimus westermani встречается на Дальнем Востоке, Paragonimus skrjabini — в Китае, Paragonimus heterotremus — в Юго-Восточной Азии, Paragonimus philippinensis — на Филиппинах, Paragonimus mexicanus — в Центральной Америке и ряде стран Южной Америки, Paragonimus africanus — в Нигерии и Камеруне, Paragonimus uterobilateralis — в Нигерии и других странах Западной Африки. На территории США обитает Paragonimus kellicotti, однако поражение людей этим гельминтом встречается редко.
Заражение происходит при употреблении в пищу плохо обработанных речных раков и крабов.
Окончательные хозяева паразита — свиньи, собаки, кошки, крысы, ондатры, дикие плотоядные и человек; в организме окончательного хозяина половозрелые гельминты локализуются преимущественно в мелких бронхах, образуя фибриозные капсулы. С мочой и фекалиями яйца парагонима выделяются во внешнюю среду. При попадании в воду внутри яйца формируется личинка — мирацидий, который внедряется в промежуточного хозяина — пресноводного моллюска. Через 5 месяцев, после развития и бесполого размножения личинок в воду выходят церкарии, внедряющиеся в тело дополнительных хозяев — пресноводных раков и крабов, где формируется инвазионная для окончательных хозяев личинка — метацеркарий. В кишечнике окончательного хозяина метацеркарии освобождаются от оболочек и продвигаются в лёгкие, иногда в головной мозг и другие органы, где в интервале от 0,5 до 3 месяцев достигают половой зрелости.
Патогенез[править]
Продолжительность инкубационного периода 2−3 недели, при массивной инвазии может сокращаться до нескольких дней.
В период миграции личинок специфические проявления отсутствуют. Возможны энтерит, гепатит, доброкачественный асептический перитонит, симптомы аллергии, включая миокардит и кожный зуд. Уже в ранней стадии парагонимоза появляются симптомы поражения лёгких в виде летучих инфильтратов, воспаления легких, экссудативного плеврита.
Выделяют абдоминальный и плевролёгочный парагонимоз. Абдоминальный парагонимоз обусловлен миграцией личинок из кишечника в брюшную полость. Отмечают симптомы энтерита, гепатита, иногда доброкачественного асептического перитонита. Плевролёгочный парагонимоз обусловлен паразитированием молодых гельминтов.
При остром плевролёгочном парагонимозе возникают лихорадка с температурой 39−40°С, боли в груди, одышка, кашель с гнойной мокротой, которая иногда содержит примесь крови. Через 2−3 месяца наступает хроническая стадия со сменой периодов обострений и облегчения, которая может длиться в течение 2−4 лет.
В основе патогенеза парагонимоза лежат воспаление и склероз ткани лёгких (иногда — других органов) под воздействием гельминтов. Сначала вокруг взрослых паразитов и их яиц развивается острая воспалительная реакция, при этом в инфильтрате преобладают эозинофилы. В дальнейшем вокруг очага формируется фиброзная капсула. Кисты, расположенные в легочной паренхиме, прорываются в бронхиолы. Их содержимое представлено кровью, яйцами гельминтов и воспалительным экссудатом. Если киста расположена субплеврально, может сформироваться эмпиема плевры, содержащая большое количество эозинофилов. Со временем в очагах поражения усиливаются склеротические процессы, а воспаление стихает. Некоторые очаги обызвествляются.
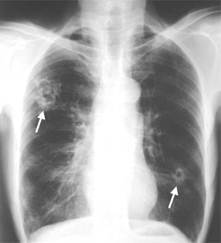
В хронической фазе развивается очаговый фиброз лёгких; рентгенологически выявляют очаги затемнения с просветлениями в центре. Возможны диффузный пневмосклероз, легочное сердце, легочное кровотечение, рак легких. Занос паразитов в мозг приводит к энцефалиту и менингоэнцефалиту, объемному процессу, напоминающему опухоль. При диссеминации яиц возможен полисерозит.
Наиболее тяжелым осложнением легочного парагонимоза является гематогенный занос яиц гельминтов в головной мозг с последующим развитием энцефалита, менингоэнцефалита, синдрома поражения головного мозга (церебральный парагонимоз). Осложнениями легочной формы являются пневмоторакс, легочное кровотечение, иногда нагноительный процесс с образованием абсцесса легкого или эмпиемы плевры. При своевременном лечении и отсутствии осложнений прогноз личиночного парагонимоза относительно благоприятный; легочный без лечения приводит к истощению и легочной недостаточности, при поражении мозга — прогноз неблагоприятный.
Легочные сосальщики помимо паренхимы лёгких нередко проникают в другие ткани — плевру, брюшную стенку, органы брюшной полости, головной мозг, вызывая там воспалительные изменения и склероз. Согласно исследованию, внелегочные очаги поражения отмечались у 30,7 % госпитализированных больных парагонимозом, поражение головного мозга — у 8,4 %. Особенно опасно поражение головного мозга.
Различают острое и хроническое поражение головного мозга. Для острого характерно внезапное развитие неврологической симптоматики, обычно на фоне легочной патологии. При хроническом нередки эпилептические припадки и стойкие неврологические нарушения; при рентгенографии черепа обнаруживают кальцификаты в виде «мыльных пузырей».
Сообщалось о частом развитии на фоне парагонимоза тяжелых бактериальных инфекций.
Поражение брюшной стенки и печени характерно для инвазии, вызванной Paragonimus skrjabini.
Клиническая картина парагонимоза[править]
В период миграции личинок специфические проявления отсутствуют. Возможны энтерит, гепатит, доброкачественный асептический перитонит, симптомы аллергии, включая миокардит и кожный зуд. Уже в ранней стадии парагонимоза появляются симптомы поражения легких в виде летучих инфильтратов, воспаления легких, экссудативного плеврита. В дальнейшем процесс в легких прогрессирует, возникают боль в грудной клетке, кашель с большим количеством мокроты с примесью гноя, крови, лихорадка. В хронической фазе развивается очаговый фиброз легких; рентгенологически выявляют очаги затемнения с просветлениями в центре. Возможны диффузный пневмосклероз, легочное сердце, легочное кровотечение, рак легких. Занос паразитов в мозг приводит к энцефалиту и менингоэнцефалиту, объемному процессу, напоминающему опухоль. При диссеминации яиц возможен полисерозит.
Личиночный парагонимоз[править]
При заражении личиночными формами парагонимусов (P. westermani ichunensis, P. miyazakii, P. huatungensis и др.) острая стадия болезни не отличается от обычного легочного парагонимоза. В хронической стадии болезнь также протекает с обострениями, сопровождающимися эозинофилией крови и ремиссиями. Рентгенологически обнаруживают мигрирующие пневмонические очаги, экссудативный плеврит на фоне усиления сосудистого рисунка. Выпот в полость плевры также может быть то право-, то левосторонним, возможен полисерозит. При длительном течении болезни могут развиться плевральные спайки с ограничением подвижности легкого и диафрагмы.
Осложнениями личиночного парагонимоза являются пневмоторакс, легочное кровотечение, иногда нагноительный процесс с образованием абсцесса легочного или эмпиемы плевры.
Заражение P. szechuanensis протекает с образованием плотных узлов в подкожной клетчатке (иногда нескольких, содержащих гельминтов и их яйца) шеи, грудной клетки, в области живота. Узлы плотные, разной величины, мало болезненные при пальпации. Кожа над узлами обычно не изменена. Инвазия сопровождается субфебрилитетом, умеренной эозинофилией крови, иногда кашлем, потерей аппетита. При поражении подкожной клетчатки грудной клетки описаны случаи гидропневмоторакса, гидроперикарда.
См. также Larva migrans.
Диагностика[править]
Симптомы: лихорадка, одышка, кашель с гнойной мокротой (иногда с примесью крови). Через 2−3 мес проявления переходят в хроническую стадию; отмечают периоды обострений и ремиссий. У некоторых больных развивается серозный экссудативный плеврит. При заносе гельминтов в головной мозг развиваются симптомы поражения ЦНС.
Диагноз легочного парагонимоза устанавливают на основании клинической картины, обнаружения яиц гельминта в мокроте, иногда и в фекалиях. Диагноз личиночного парогонимоза подтверждается серологическими реакциями со специфическим антигеном. При заражении P. szechuanensis диагноз устанавливают на основании результатов биопсии узла. В биоптате обнаруживают личинки паразита.
Дифференциальный диагноз личиночного парагонимоза с поражением лёгких проводят с туберкулёзом, дерматомиозитом, склеродермией, периартериитом узелковым, тропической легочной эозинофилией. В отличие от туберкулёза и системных болезней соединительной ткани для парагонимоза характерны стойкая эозинофилия и более доброкачественное течение болезни. Для тропической эозинофилии характерно наличие множественных, относительно стойких двусторонних инфильтратов в лёгких (формы без инфильтратов крайне редки), стойкая общая симптоматика — лихорадка, интоксикация без выраженных ремиссий.
Лечение[править]
Диагноз легочного парагонимоза устанавливают на основании клинической картины, обнаружения яиц гельминта в мокроте, иногда и в фекалиях. Диагноз личиночного парогонимоза подтверждается серологическими реакциями со специфическим антигеном. При заражении P. szechuanensis диагноз устанавливают на основании результатов биопсии узла. В биоптате обнаруживают личинки паразита.
Лечение проводят празиквантелем (бильтрицидом) в дозе 60−70 мг/кг массы тела в сутки в три приема после еды с промежутком не менее 4 ч в течение 1−2 дней или в дозе 40 мг/кг по той же схеме в течение 4−5 дней.
Прогноз при своевременном лечении и отсутствии осложнений (пневмоторакс, кровотечения) относительно благоприятный; легочный парогонимоз без лечения приводит к легочной недостаточности, истощению. При поражении головного мозга прогноз серьёзный.
См. также[править]
Литература[править]
- Суханова Г. И., Каминский Ю. В. «Парагонимоз». 1998 г.
- Озерецковская Н. Н., Зальнова Н. С. и Тумольская Н. И. Клиника и лечение гельминтозов, с. 119, Л., 1985.
- Руководство по тропическим болезням, под ред. А. Я. Лысенко, с. 268, М., 1983.
- Тропические болезни, под ред. Е. И. Шуваловой, с. 329, М., 1989.



