Аллергический бронхолёгочный аспергиллёз
Аллергический бронхолёгочный аспергиллёз
Аллерги́ческий бронхолёгочный аспергиллёз (англ. Allergic bronchopulmonary aspergillosis) — хроническое инфекционно-аллергическое заболевание дыхательных путей, вызванное гиперчувствительностью к грибам рода Aspergillus. Чаще всего заболевание развивается в результате аллергической реакции к Aspergillus fumigatus. Эта патология часто встречается у людей с бронхиальной астмой или муковисцидозом и характеризуется воспалением дыхательных путей и лёгочной ткани[1].
Историческая справка[править]
Впервые аллергический бронхолёгочный аспергиллёз (АБЛА) был описан в 1952 году доктором Хинсоном и его коллегами британскими учёными. Они опубликовали описание серии случаев заболевания у пациентов с бронхиальной астмой, у которых наблюдались следующие клинические особенности: тяжёлая бронхиальная астма, рецидивирующие лёгочные инфильтраты, эозинофилия крови, гиперчувствительность к Aspergillus fumigatus, фиброзы и бронхоэктазы. Исследователи впервые обратили внимание на тот факт, что у пациентов с астмой, у которых возникают повторяющиеся инфильтраты и другие атипичные симптомы, может быть задействован аллергический механизм в ответ на грибковую инфекцию. Эти случаи привлекли внимание к роли грибов рода Aspergillus в патогенезе хронических лёгочных заболеваний, особенно у пациентов с астмой и муковисцидозом[2].
Эпидемиология[править]
АБЛА встречается у более 4 миллионов больных по всему миру. Заболевание развивается у 1-3,5 % пациентов с бронхиальной астмой. В группах с тяжёлой астмой частота может быть выше — до 10 %. У людей с муковисцидозом АБЛА возникает в 7-15 % случаев. Это количество в абсолютных числах может достигать около 100 тысяч случаев среди пациентов с муковисцидозом.
Заболевание варьирует в зависимости от региона. В странах с тропическим климатом и высокой влажностью частота случаев может быть выше[3]. Чаще встречается в зимние периоды, так как увеличивается количество спор грибов рода Aspergillus в окружающей среде[2].
АБЛА чаще всего встречается у взрослых, особенно в возрасте от 20 до 40 лет, хотя также может наблюдаться и у детей с муковисцидозом. Существует небольшая предрасположенность к заболеванию у мужчин[3].
Этиология[править]
Возбудителем АБЛА в большинстве случаев является Aspergillus fumigatus — вид плесневых грибов, относящихся к роду Aspergillus, семейству Aspergillaceae, классу Eurotiomycetes'.
Аспергиллы широко распространены в окружающей среде, встречается в почве, компосте и других органических материалах. Аспергиллы являются сапрофитами. Аспергиллы распространяются спорами. При попадании спор в респираторный тракт при вдыхании у чувствительных людей развивается гиперчувствительность к этому грибу[4].
Патогенез[править]
Патогенез развития заболевания до конца остаётся неясным. Патогенез основывается на хронической аллергической реакции на гриб Aspergillus fumigatus. В норме споры этого гриба при попадании в дыхательные пути удаляются из организма благодаря мукоцилиарному клиренсу, но у пациентов, генетически предрасположенных к развитию АБЛА, дефектный клиренс позволяет спорам прорастать в гифы. Гифы служат антигенным стимулом для аллергической реакции, что приводит к сенсибилизации к грибку. В ответ на колонизацию дыхательных путей происходит активация T-хелперов второго типа, что является характерным для гиперчувствительности I типа[1]. Эти клетки вырабатывают ключевые цитокины, такие как интерлейкины ИЛ-4, ИЛ-5 и ИЛ-13, которые стимулируют продукцию IgE — антител, ответственных за гиперчувствительность к антигенам A. fumigatus. Повышение уровня IgE приводит к активации мастоцитов и базофилов, которые выделяют медиаторы воспаления, вызывая бронхоспазм, отёк тканей и гиперсекрецию слизи, что значительно ухудшает дыхательную функцию. Выделяемые хемокины и цитокины привлекают большое количество эозинофилов, которые выделяют цитотоксические вещества, повреждающие эпителий бронхов, усиливающие воспаление и разрушение тканей. Постоянное воспаление приводит к образованию слизистых пробок в бронхах, блокируя дыхательные пути и способствуя развитию бронхоэктазов[5].
На поздних стадиях заболевания постоянное воспаление может привести к фиброзу лёгких — процессу рубцевания тканей, что значительно ухудшает вентиляцию и газообмен в лёгких и может стать причиной дыхательной недостаточности[6].
Генетическая предрасположенность также играет важную роль в развитии АБЛА. Определённые аллели генов HLA, такие как HLA-DR2 и HLA-DR5 могут усиливать реакцию иммунной системы на антигены Aspergillus fumigatus, способствуя более тяжёлому течению заболевания[6].
Гистологическая картина[править]
На гистологических срезах можно обнаружить фрагменты грибов, особенно гифы в аллергическом муцине, который заполняет полость бронхов. При этом грибковая инвазия не проникает в стенки бронхов, что отличает АБЛА от инвазивных форм аспергиллёза. При гистологическом исследовании обнаруживаются спирали Куршмана, кристаллы Шарко-Лейдена, воспалительные клетки, выраженная эозинофилия. Эозинофилы находятся как в просвете бронхов, так и в тканях, окружающих дыхательные пути. Хроническое воспаление приводит к разрушению эпителия бронхов и образованию бронхоэктазов — патологически расширенных бронхов, заполненных слизью и грибковыми элементами. Редко можно обнаружить гранулёматоз, который связан с иммунным ответом на грибковые антигены[1][5].
Клиническая картина[править]
У большинства пациентов наблюдается плохо контролируемая астма с тяжёлыми и частыми обострениями. Пациенты жалуются на кашель с выделением вязкой мокроты, иногда с коричневатыми слизистыми пробками[1]. Другими респираторными симптомами являются кровохарканье, одышка, которая усиливается при физической нагрузке и полифонические свистящие хрипы, которые выслушиваются при аускультации. Влажные хрипы выслушиваются реже. Также при аускультации можно выявить крепитацию[2]. У некоторых пациентов может повышаться температура тела до субфебрильных показателей, особенно в периоды обострения. Другие симптомы включают головную боль, общее недомогание и слабость, потерю веса[1].
Стадии АБЛА[править]
Острая стадия (I) характеризуется острыми респираторными симптомами, лихорадкой, общим недомоганием. Выявляется повышение уровня специфического IgE к Aspergillus fumigatus, эозинофилия крови. На рентгенограммах выявляется лёгочная инфильтрация. Стадия ремиссии (II) характеризуется тем, что у пациента отсутствуют симптомы и астма поддаётся контролю, без новых рентгенологических инфильтратов и без увеличения общего IgE в течение как минимум шести месяцев. Стадия рецидива (III) характеризуется появлением симптомов, напоминающих острую стадию заболевания. Изменения на рентгенограмме лёгких в 100 % случаев сопровождаются повышением уровня общего IgE, при условии, что другие причины отсутствуют. Гормонозависимая астма (IV стадия) проявляется тем, что пациенты становятся зависимыми от лечения кортикостероидами. При попытке снизить дозу препаратов заболевание обостряется. На рентгенографии грудной клетки часто выявляются бронхоэктазы. Фиброзная стадия (V) характеризуется необратимыми изменениями в лёгких, которые проявляются в виде фиброзных уплотнений на рентгенограмме и компьютерной томографии грудной клетки, прогрессирует дыхательная недостаточность[7].
| Стадия | Описание | Критерии |
|---|---|---|
| I | Острая | Имеются все диагностические критерии |
| II | Ремиссия | Симптомы отсутствуют > 6 месяцев |
| III | Рецидив | Симптомы отсутствуют > 6 месяцев |
| IV | Гормонозависимая астма | Требуется применение кортикостероидов или лечение неэффективно |
| V | Фиброзная | Диффузный фиброз и бронхоэктазы |
Диагностика[править]
Классические диагностические критерии были предложены в 1977 году Розенбергом и Паттерсоном. Они включали в себя 7 диагностических признаков: бронхиальная астма, эозинофилия крови, повышенный общий уровень IgE, положительные кожные тесты на Aspergillus, преципитирующие антитела к Aspergillus fumigatus, бронхоэктазы и мигрирующие лёгочные инфильтраты. Доктор Агарвал Р. и его коллеги дополнили эти критерии наличием повышенного уровня специфических IgE к Aspergillus fumigatus. Эти критерии были признаны международным сообществом и использовались в течение многих лет. В 2013 году были предложены новые диагностические критерии. Были выделены 2 предрасполагающих условия: бронхиальная астма или муковисцидоз. Обязательные критерии в виде положительного кожного тест на аспергиллёз или повышенные уровни IgE к Aspergillus fumigatus и повышенные уровни общего IgE более 1000 МЕ/мл. Другие критерии состояли из трёх пунктов, из которых должны были присутствовать хотя бы два из трёх: присутствие преципитирующих или IgG-антител к Aspergillus fumigatus в сыворотке, изменения на рентгенограмме лёгких, характерные для АБЛА, и содержание эозинофилов более 500 клеток/мкл[2].
Лабораторная диагностика[править]
Уровень специфических к Aspergillus fumigatus IgE в сыворотке крови, превышающий более 0,35 кЕ/л, считается наиболее чувствительным показателем для диагностики АБЛА и рекомендуется в качестве основного метода скрининга пациентов с астмой на наличие АБЛА. Кожные реакции на антиген Aspergillus fumigatus, проводимые методом укола или внутрикожной инъекции, аналогичны повышению уровня специфических IgE к Aspergillus fumigatus. Чувствительность этого теста для диагностики АБЛА составляет до 94 %. Повышенный уровень общего IgE в сыворотке крови >1000 МЕ/мл является одним из ключевых диагностических признаков АБЛА. Нормальный уровень общего IgE в сыворотке крови практически исключает активную форму АБЛА, как причину симптомов у пациента. Это хороший тест для наблюдения за пациентами, поскольку уровень общего IgE в сыворотке начинает снижаться после лечения. Повышенные уровни специфического IgG к Aspergillus fumigatus свидетельствуют о хронической воспалительной реакции на Aspergillus. Преципитирующие антитела к Aspergillus подтверждают хроническую экспозицию к грибку и указывают на активацию иммунной системы[1].
Эозинофилия крови более 500 клеток/мкл у пациентов, не получающих ГКС, считается важным критерием для диагностики АБЛА[8].
При посеве мокроты у пациентов с АБЛА в мокроте обнаруживается не только возбудители заболевания, но и другие грибы и бактерии[1]. При АБЛА мокрота часто бывает слизистой, может быть коричневой из-за клеток и белков, а также может содержать слизистые пробки. В общем анализе мокроты выявляется эозинофилия, спирали Куршмана. кристаллы Шарко-Лейдена, которые указывают на наличие аллергической реакции[источник ?].
Инструментальная диагностика[править]
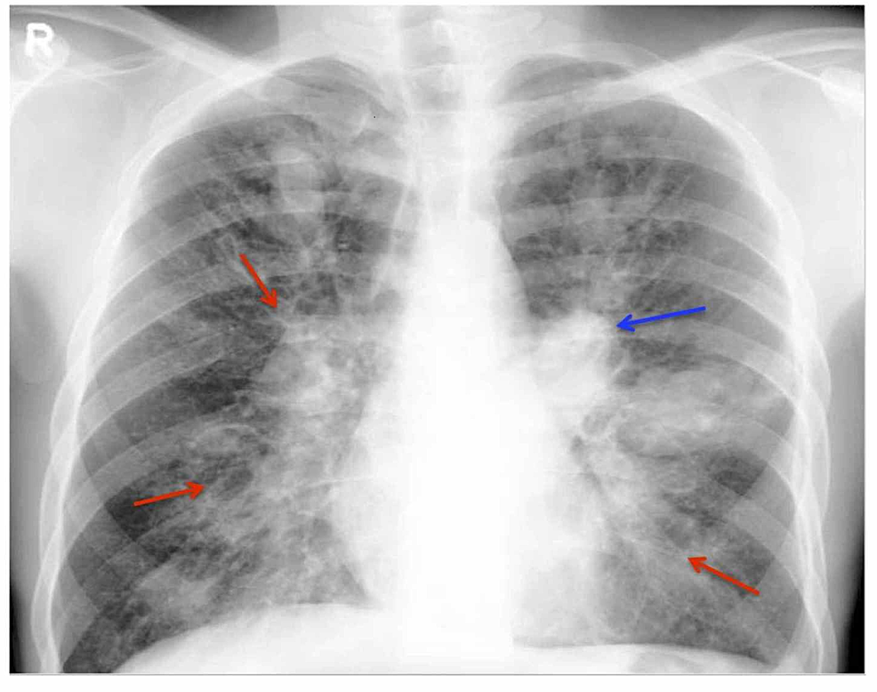
Рентгенологические изменения могут носить преходящий или постоянный характер. К преходящим признакам относятся:
- односторонние или двусторонние крупные уплотнения в лёгочной ткани;
- лёгочные инфильтраты;
- затемнения, которые образуются в результате закупорки повреждённого бронха слизью и напоминают по форме выдавленную из тюбика зубную пасту;
- тени дистальных бронхов, заполненных слизью — симптом «пальцев в перчатке»;
- симптом «трамвайных рельсов», свидетельствующий об утолщении стенок бронхов[9].
Рентгенография грудной клетки полезна для наблюдения, поскольку преходящие отклонения исчезают после начала терапии АБЛА[1].
Постоянные изменения — проксимальные бронхоэктазы, образующиеся на месте инфильтратов[7]. У больных бронхоэктазы выявляются в 80 % случаев[9].
Компьютерная томография грудной клетки является более чувствительным методом для выявления АБЛА. Наиболее частой находкой при КТ органов грудной клетки являются бронхоэктазы. Считается, что центральные бронхоэктазы более характерны для АБЛА, но почти в 40 % случаев они могут распространяться и на периферию лёгких. Также можно увидеть утолщение стенок бронхов, наличие слизистых пробок и изменения в окружающей лёгочной ткани[1].
Магнитно-резонансная томография не используется в качестве рутинного метода. Однако при респираторных патологиях, включая астму и муковисцидоз, на МРТ выявляется скопление слизи, которое характеризуется гиперинтенсивным сигналом на Т1-взвешенных изображениях и гипоинтенсивным сигналом на Т2-взвешенных изображениях. Роль МРТ в диагностике АБЛА все ещё изучается и требует специальных знаний[1].
Спирометрия используется для выявления нарушений функции лёгких. При АБЛА может наблюдаться обструктивное или смешанное нарушение вентиляции лёгких. Обструктивные нарушения обратимы[10].
Дифференциальная диагностика[править]
- Бронхоэктатическая болезнь
- Тяжёлая бронхиальная астма
- Муковисцидоз
- Эозинофильная пневмония
- Хроническая обструктивная болезнь лёгких
- Синдром Чарга-Стросса
- Бронхоцентрический гранулематоз
- Туберкулёз лёгких
- Гиперчувствительный пневмонит
- Хронический некротизирующий аспергиллёз
- Паразитарные инфекции[11].
Лечение[править]
Лечение АБЛА включает в себя два принципа: использование глюкокортикоидов в качестве противовоспалительных средств для подавления иммунной гиперреактивности и использование противогрибковых средств для уменьшения количества грибков в дыхательных путях[9].
Глюкокортикоиды являются предпочтительным методом лечения АБЛА. Пероральные (системные) глюкокортикоиды, такие как преднизолон, назначают в острую стадию или в период обострения. Дозировка зависит от стадии и тяжести заболевания. Глюкокортикостероиды способны облегчить клинические симптомы, а также улучшить результаты лабораторных исследований и рентгенографии. Об эффективности лечения можно судить по улучшению рентгенологической картины, а также по снижению уровня общего IgE в сыворотке крови на 20-25 % и более от исходного уровня[2]. Ингаляционные глюкокортикоиды обладают способностью достигать необходимой концентрации в дыхательных путях, при этом вызывая значительно меньше побочных эффектов. Они являются препаратами первой линии для лечения бронхиальной астмы и обладают противовоспалительным эффектом при терапии АБЛА[1]. Использование ингаляционных кортикостероидов помогает контролировать симптомы бронхиальной астмы в периоды ремиссии болезни. Однако в период обострения они не оказывают никакого влияния на инфильтраты[9].
Противогрибковые препараты назначают для снижения грибковой нагрузки в лёгких[1]. Они способствуют уменьшению иммунного ответа на Aspergillus, снижению частоты обострений заболевания и улучшению симптомов[2]. Итраконазол считается основным препаратом для лечения АБЛА из группы противогрибковых. Применение итраконазола приводит к снижению уровня воспалительных маркеров в мокроте, общего уровня IgE в сыворотке крови и частоты обострений, требующих применения глюкокортикоидов[1]. Новые азольные противогрибковые средства, такие как вориконазол, пока не нашли широкого применения из-за ограниченного количества исследований и высокой стоимости лечения. Считается, что вориконазол лучше переносится и обладает более высокой биодоступностью по сравнению с итраконазолом[9].
Терапия моноклональными антителами — анти-IgE-антителами (омализумаб) применяется у пациентов с тяжёлыми формами АБЛА. Целью терапии омализумабом является снижение общего уровня IgE в сыворотке крови до <21 МЕ/мл[1]. Эффективность омализумаба в лечении пациентов с АБЛА была исследована в нескольких проспективных исследованиях. Одно из исследований провели с участием 16 пациентов с АБЛА. Результаты показали, что приём омализумаба значительно снизил частоту обострений и уменьшил потребность в системных кортикостероидах[2]. В настоящее время омализумаб является одним из вариантов лечения пациентов с AБЛА, которые не могут переносить препараты первой линии или не отвечают на другие методы терапии[1].
Также в лечении больных АБЛА могут быть эффективны новые методы иммунотерапии аллергических заболеваний, направленные на переключение иммунного ответа с Th2- на Th1-тип[7].
Прогноз[править]
Прогноз при АБЛА зависит от своевременной диагностики и адекватной терапии. При раннем выявлении заболевания и эффективной терапии удаётся снизить частоту обострений заболевания, предотвратить тяжёлые осложнения и заболевание не прогрессирует до терминальной стадии. При отсутствии лечения и позднем выявлении заболевания, возможно развитие хронических изменений в лёгких — развитие бронхоэктазов и фиброза, что существенно ухудшает качество жизни больного. Летальный исход наступает вследствие выраженной дыхательной недостаточности[7].
Примечания[править]
- ↑ 1,00 1,01 1,02 1,03 1,04 1,05 1,06 1,07 1,08 1,09 1,10 1,11 1,12 1,13 1,14 Agarwal R, Sehgal IS, Dhooria S, Muthu V, Prasad KT, Bal A, Aggarwal AN, Chakrabarti A. Allergic bronchopulmonary aspergillosis англ. // Indian J Med Res. : Журнал. — 2020. — С. 529—549.
- ↑ 2,0 2,1 2,2 2,3 2,4 2,5 2,6 Анаев Э.Х. Аллергический бронхолегочный аспергиллез: гистопатология, диагностика и лечение рус. // Практическая пульмонология : Журнал. — 2018. — № 3. — С. 14—19. — ISSN 2409-756X.
- ↑ 3,0 3,1 Paul A. Greenberger, Robert K. Bush, Jeffrey G. Demain, Amber Luong, Raymond G. Slavin, Alan P. Knutsen Allergic Bronchopulmonary Aspergillosis англ. // The Journal of Allergy and Clinical Immunology: In Practice : Журнал. — 2014. — С. 703—708.
- ↑ Кулешов. А.В., Чучалин А.Г. Аллергический бронхолегочный аспергиллез рус. // Русский медицинский журнал : Журнал. — 1997. — ISSN 2225-2282.
- ↑ 5,0 5,1 Michael C. Tracy, Caroline U.A. Okorie, Elizabeth A. Foley, Richard B. Moss Allergic Bronchopulmonary Aspergillosis англ.. MDPI (2016-06-06). Проверено 16 октября 2024.
- ↑ 6,0 6,1 6,2 Victor E. Ortega, Manuel Izquierdo Allergic Bronchopulmonary Aspergillosis (ABPA) англ.. MSD Manual (2022-03). Проверено 16 октября 2024.
- ↑ 7,0 7,1 7,2 7,3 Горячкина Л. А., Терехова Е. П. Аллергический бронхолегочный аспергиллез рус. // Доктор.Ру. — 2008. — № 2. — С. 11—14. — ISSN 2713-2994.
- ↑ Анаев Э.Х., Белевский А.С., Княжеская Н.П., Макарова М.А. Эозинофильные заболевания легких. — Москва: ФГАОУ ВО РНИМУ им. Н.И. Пирогова Минздрава России, 2024. — С. 36—42. — 64 с. — ISBN 978-1-84984-142-9.
- ↑ 9,0 9,1 9,2 9,3 9,4 Митрофанов В. С. Свирщевская Е. В. Аспергиллёз лёгких. — Санкт-Петербург: Фолиант, 2013. — 184 с. — ISBN 978-5-93929-242-9.
- ↑ Терехова Е.П. Аллергический бронхолегочный аспергиллез: современные методы диагностики и терапии рус. // Фарматека : Журнал. — 2015. — С. 26—32. — ISSN 2414–9128.
- ↑ Sisodia Jitendra, Bajaj T. Allergic Bronchopulmonary Aspergillosis англ. // StatPearls : Журнал. — 2023. — PMID 31194469.
Литература[править]
- Анаев Э. Х. Аллергический бронхолёгочный аспергиллёз: гистопатология, диагностика и лечение // Практическая пульмонология. — 2018. — № 3.
- Горячкина Л. А., Терехова Е. П. Аллергический бронхолёгочный аспергиллёз // Доктор.Ру. — 2008. — № 2.
- Paul A. Greenberger, Robert K. Bush, Jeffrey G. Demain, Amber Luong, Raymond G. Slavin, Alan P. Knutsen Allergic Bronchopulmonary Aspergillosis англ. // The Journal of Allergy and Clinical Immunology: In Practice : Журнал. — 2014. — С. 703—708.
Одним из источников, использованных при создании данной статьи, является статья из википроекта «Рувики» («ruwiki.ru») под названием «Аллергический бронхолёгочный аспергиллёз», расположенная по адресу:
Материал указанной статьи полностью или частично использован в Циклопедии по лицензии CC-BY-SA 4.0 и более поздних версий. Всем участникам Рувики предлагается прочитать материал «Почему Циклопедия?». |

