Эритразма
Эритразма
Эритра́зма (англ. Erythrasma) — хроническая кожная инфекция.
Вызывается бактерией Corynebacterium minutissimum[1]. Заболевание чаще всего поражает кожные складки в подмышечной, паховой или межпальцевой областях[2]. Клинически обычно проявляется эритемой, изменением цвета кожи, шелушением, мацерацией, лёгким зудом[1].
Историческая справка[править]
Эритразма была впервые описана в 1859 году немецким дерматологом Бурхардтом. Он предположил, что её развитие вызвано грибковой инфекцией. В 1862 году учитель Бурхардта, дерматовенеролог Фридрих Вильгельм Феликс фон Беренспрунг, предложил термин «эритразма» и дал название бактерии, вызывающей это заболевание — Microsporum minutissimum. В 1884 году немецкий врач-дерматолог, профессор университета в Берслау Генрих Кёбнер установил, что эритразма является контагиозным заболеванием[1][3]. В 1961 году французский дерматолог Sarkay и его коллеги провели исследование соскоба с чешуек эритразмы и выяснили, что эта болезнь вызывается бактерией Corynebacterium minutissimum[4].
Эпидемиология[править]
Эритразма встречается повсеместно, однако наиболее часто её можно обнаружить в жарких и влажных климатических условиях. Эритразма не является высококонтагиозным заболеванием[5]. С возрастом риск её развития возрастает, поэтому её обычно диагностируют у взрослых. Средний возраст пациентов с этим заболеванием составляет от 35 до 50 лет. Это заболевание более характерно для представителей негроидной расы из-за тёмной кожи и чаще поражает мужчин[3]. Распространённость эритразмы у пациентов с диабетом составляет 50 %, а у людей с ожирением — 62,5 %[1].
Этиология[править]
Эритразму вызывает бактерия Corynebacterium minutissimum — грамположительная палочка рода Corynebacterium, из семейства Corynebacteriaceae, порядка Mycobacteriales, класса Актиномицеты. Эта бактерия входит в состав нормальной микрофлоры кожных покровов. Однако при наличии факторов, способствующих развитию заболевания, она может стать патогенной[5]. Факторы, способствующие развитию инфекции:
- повышенная влажность,
- чрезмерное потоотделение,
- несоблюдение мер личной гигиены
- ожирение
- сахарный диабет
- пожилой возраст
- ослабленный иммунитет[4][5].
Патогенез[править]
Патогенез до конца не изучен. Патогенез начинается с колонизации Corynebacterium minutissimum в условиях повышенной влажности, потоотделения и трения, что способствует развитию бактериальной инфекции в кожных складках. Бактерия продуцирует порфирины, которые способны флуоресцировать кораллово-красным цветом под ультрафиолетовым светом, что используется для диагностики. Также порфирины могут активировать инфламмасому NLRP3 в кератиноцитах, что способствует воспалительному процессу. В результате может возникнуть воспалительная среда, характеризующаяся выделением цитокинов и других медиаторов воспаления. Медиаторы воспаления активируют иммунный ответ, приводя к развитию гиперкератоза. Гидрофобные взаимодействия в роговом слое кожи, которые усиливаются во влажной среде, способствуют агрегации липофильных бактерий в складках. Это приводит к переходу от нормальной микрофлоры кожи к развитию инфекции и воспалительным реакциям. Патологический процесс в основном затрагивает верхние слои кожи и имеет хронический рецидивирующий характер при наличии предрасполагающих факторов[4].
Клиническая картина[править]
Клиническая картина эритразмы характеризуется появлением коричневато-красных или кирпично-красных пятен. Пятна имеют чёткие границы и могут быть слегка шелушащимися. Могут сливаться и образовывать крупные очаги с резкими краями и фестончатыми очертаниями и шелушением[5]. В большинстве случаев поверхность очага выглядит сморщенной[6]. Субъективные ощущения обычно отсутствуют, иногда может наблюдаться зуд, дискомфорт и раздражение[3]. Пятна чаще всего появляются на коже в пахово-бедренных складках и на коже бёдер, которая к ним прилегает, а также в подмышечной области. Иногда они могут возникнуть на коже складок под молочными железами, на животе, межъягодичной складке, пупочного кольца и в межпальцевых складках стоп[5][7].
В межпальцевых складках наблюдается мацерация, трещины и шелушение[5]. Чаще всего возникает между третьим и четвёртым, четверым и пятым пальцами[4][8]. Возможно развитие опрелостей с лёгким зудом и воспалением[4]. В крупных складках наблюдается лихенификация очагов с бляшками, приподнятыми над поверхностью кожи[6].
Дисковидная эритразма — редкая форма, которая может возникнуть на любом участке тела. Чаще всего она наблюдается у темнокожих женщин, проживающих в тропическом климате. Характеризуется появлением округлых чётко очерченных чешуйчатых бляшек на туловище и в верхней части конечностей[4]. Генерализованная форма заболевания характеризуется образованием множественных крупных пятен и бляшек на туловище и/или конечностях, которые могут сливаться между собой[6].
Диагностика[править]
Диагноз устанавливается на основании клинической картины и при необходимости подтверждается результатами лабораторных и/или инструментальных методов исследования[5].
Лабораторная диагностика[править]
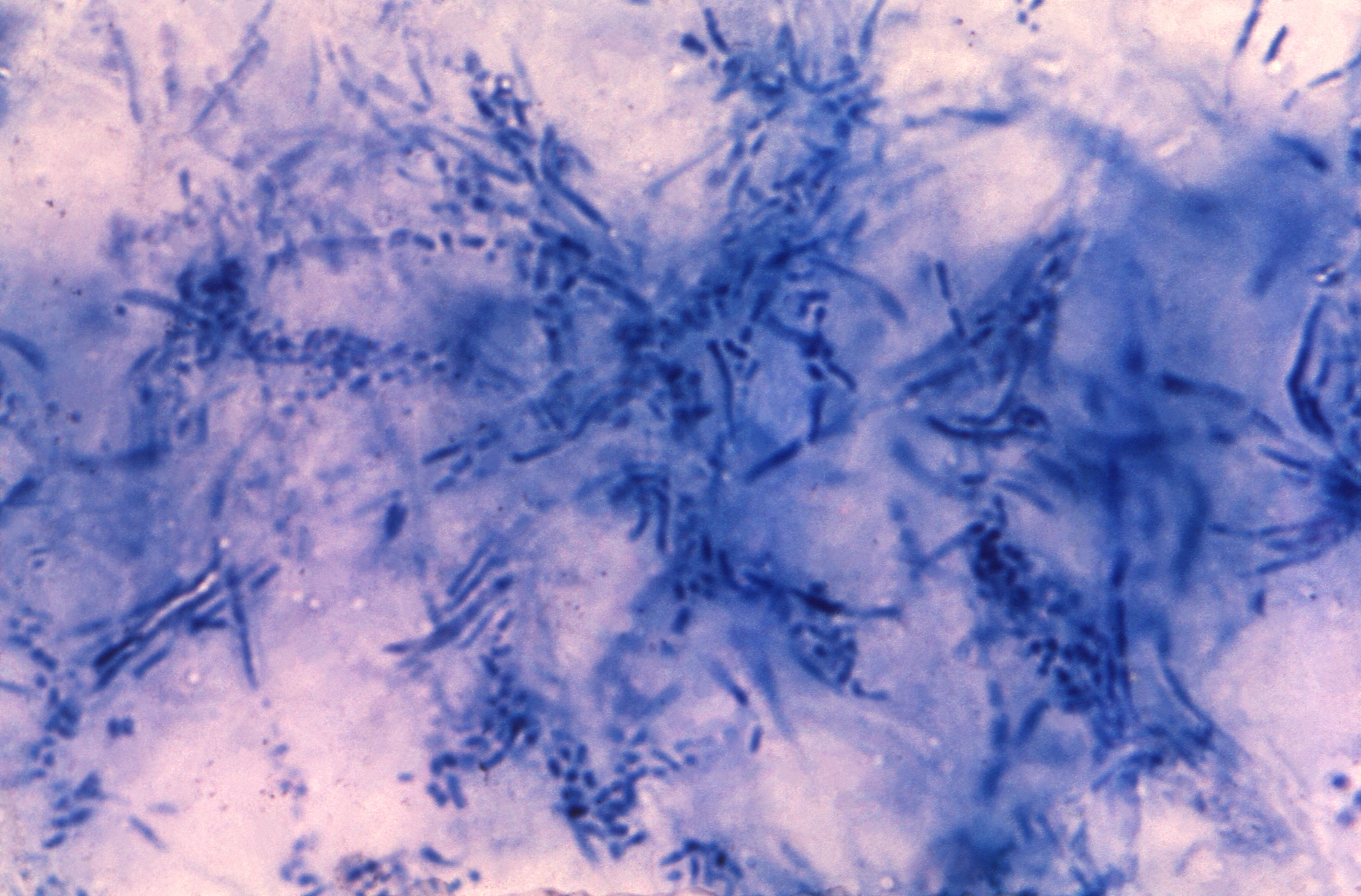
Проводится микроскопическое исследование соскоба с очагов поражения, предварительно окрашенных по Граму. При этом обнаруживаются грамположительные изогнутые коринебактерии[5].
Инструментальная диагностика[править]
Достоверным методом диагностики эритразмы является осмотр кожи с помощью лампы Вуда. При осмотре лампой Вуда выявляется характерное кораллово-красное или кирпично-красное свечение, которое возникает из-за накопления в коже копропорфиринов III, синтезируемых Corynebacterium minutissimum[5].
Дифференциальная диагностика[править]
- Себорейный дерматит
- Контактный дерматит
- Обратный псориаз
- Кандидоз
- Дерматофития
- Трихофития
- Отрубевидный лишай
- Парапсориаз
- Терра фирма-формный дерматоз
- Опрелости
- Чёрный акантоз
- Сливной ретикулярный папилломатоз Гужеро-Карто
- Ротондный отрубевидный лишай
- Стёртые формы руброфитий[2][3][4][7]
Осложнения[править]
Осложнения, как правило, возникают у лиц с ослабленным иммунитетом и включают:
- эндокардит,
- формирование абсцесса,
- целлюлит,
- пиелонефрит,
- катетер-ассоциированная инфекция[4],
- остеомиелит[9].
- перитонит,
- кожная гранулёма,
- менингит[10],
- послеоперационная абдоминальная инфекция[6][11].
Лечение[править]
Для лечения может назначаться местная терапия или системная терапия. Для местного лечения используются различные антибактериальные препараты, такие как фузидовая кислота. Также применяются противомикробные средства, используемые для лечения угревой сыпи, например, эритромицин; противогрибковые препараты, такие как бифоназол, циклопирокс и изоконазол. При сильном зуде могут быть назначены мощные кортикостероиды в сочетании с другими препаратами, например, дифлукортолон с изоконазолом[5]. Типичная продолжительность местного лечения составляет 7—14 дней. Исследования показало, что крем с фузидовой кислотой демонстрирует более высокую эффективность, чем пероральные препараты кларитромицин и эритромицин, в уменьшении реакции на лампу Вуда. Эффективность оценивалась по интенсивности кораллово-красной флуоресценции. Считается, что это связано с тем, что фузидовая кислота способна удалять копропорфирин III из рогового слоя кожи. Кроме того, было выявлено, что фузидовая кислота вызывает полный клинический ответ у 96 % пациентов, в то время как кларитромицин обеспечивает аналогичный результат у 66 % пациентов, а эритромицин — у 53 % пациентов[4].
При обширной эритразме рекомендуется пероральная терапия с использованием таких препаратов, как кларитромицин, эритромицин или тетрациклин[4][5]. Кларитромицин имеет некоторое преимущество перед эритромицином и тетрациклином, поскольку его можно принимать в виде однократной дозы[4].
Прогноз[править]
У большинства людей, страдающих эритразмой, прогноз благоприятный. Однако, если не устранить причины, вызывающие это заболевание, оно может рецидивировать. У здоровых людей эритразма не приводит к каким-либо серьёзным последствиям. Но у людей с ослабленным иммунитетом инфекция может быстро распространиться и вызвать осложнения[4].
Профилактика[править]
Одним из важнейших аспектов профилактики является соблюдение мер личной гигиены, тщательное высушивание тела после водных процедур, устранение потливости. Необходимо проводить дезинфекцию одежды, белья, обуви, предметов обихода[5]. Меры профилактики также включают в себе лечение сопутствующих заболеваний, таких как ожирение, сахарный диабет[6].
Источники[править]
- ↑ 1,0 1,1 1,2 1,3 Martínez-Ortega JI, Franco González S. Erythrasma: Pathogenesis and Diagnostic Challengesангл. // Cureus : Журнал. — 2024-08-31. — DOI:10.7759/cureus.68308 — PMID 39350848.
- ↑ 2,0 2,1 Forouzan P., Cohen P.R. Erythrasma Revisited: Diagnosis, Differential Diagnoses, and Comprehensive Review of Treatmentангл. // Cureus : Журнал. — 2020-09-30. — DOI:10.7759/cureus.10733 — PMID 33145138.
- ↑ 3,0 3,1 3,2 3,3 Подкорытова О.М., Николаева К.И., Антонова С.Б., Бочкарев Ю.М. К вопросу о дифференциальной диагностике эритразмырус. // Актуальные вопросы современной медицинской науки и здравоохранения : Сборник статей VI Международной научно-практической конференции молодых ученых и студентов. — 2021. — С. 1039—1044.
- ↑ 4,00 4,01 4,02 4,03 4,04 4,05 4,06 4,07 4,08 4,09 4,10 4,11 Groves J.B., Nassereddin A., Freeman A.M. Erythrasmaангл. // StatPearls : Журнал. — 2023. — PMID 30020724.
- ↑ 5,00 5,01 5,02 5,03 5,04 5,05 5,06 5,07 5,08 5,09 5,10 5,11 Кубанов А.А., Чикин В.В., Кожичкина Н.В. Эритразмарус.. Клинические рекомендации (2021).
- ↑ 6,0 6,1 6,2 6,3 6,4 Агапов С.А. Эритразмарус.. ПроБолезни (2019-10-23). Проверено 31 октября 2024.
- ↑ 7,0 7,1 Короткий Н.Г., Короткий В.Н., Уджуху В.Ю., Шемшук М.И., Шарова Н.М., Сучкова Т.Н., Тихомиров А.А., Кукало С.В., Кубылинский А.А., Наринская Н.М Дерматозы инфекционного и паразитарного характера. — Москва: ФГБОУ ВО РНИМУ им. Н.И. Пирогова Минздрава России, 2019. — С. 48—49. — 135 с.
- ↑ Wingfield E. Rehmus Erythrasmaангл.. MSD Manual (2023-06). Проверено 31 октября 2024.
- ↑ Bandera A., Gori A., Rossi M.C., Degli Esposti A., Ferrario G., Marchetti G., Tocalli L., Franzetti F. A case of costochondral abscess due to Corynebacterium minutissimum in an HIV-infected patientангл. // Journal of Infectious Diseases : Журнал. — 2000. — DOI:10.1053/jinf.2000.0679 — PMID 11041706.
- ↑ Aman Dalala, Rishi Likhi Corynebacterium minutissimum bacteremia and meningitisангл. // Journal of Infection : Журнал. — 2007. — DOI:10.1016/j.jinf.2007.10.006
- ↑ Shin J.Y., Lee W.K., Seo Y.H., Park Y.S. Postoperative Abdominal Infection Caused by Corynebacterium minutissimumангл. // Journal of Infection and Chemotherapy : Журнал. — 2014. — DOI:10.3947/ic.2014.46.4.261 — PMID 25566407.
Одним из источников, использованных при создании данной статьи, является статья из википроекта «Рувики» («ruwiki.ru») под названием «Эритразма», расположенная по адресу:
Материал указанной статьи полностью или частично использован в Циклопедии по лицензии CC-BY-SA 4.0 и более поздних версий. Всем участникам Рувики предлагается прочитать материал «Почему Циклопедия?». |


