Туберкулёма
Туберкулёма
Туберкулёма (устар. «туберкулома») (лат. tuberculum — бугорок, -ωμα от ὄγκωμα — опухоль), или казеома лёгких — форма туберкулёза лёгких, внешне напоминающая опухоль, чем и обусловлено название.
Представляет собой округлое кумулированное образование аморфного казеоза в лёгких. Чаще наблюдается единичная туберкулёма, чем множественная[1]. Туберкулёмы обычно локализуются преимущественно в I, II, VI сегментах лёгких[2].
Туберкулёмы могут возникать как при первичном, так и вторичном туберкулёзе[1]. Туберкулёма лёгкого является той формой туберкулёзного процесса, к которой возможно применение хирургического метода лечения[3].
Различают туберкулёмы:
- мелкие (диаметром до 2 см),
- средние (2—4 см),
- крупные (более 4 см)[4].
Эпидемиология[править]
Туберкулёмы чаще возникают у людей в возрасте 25—40 лет и, как правило, выявляются при плановых флюорографических обследованиях. Среди всех новых случаев туберкулёза лёгких туберкулемы составляют 2—6 %)[4].
Патогенез и патологическая анатомия[править]
Туберкулёма чаще всего возникает после очагового или инфильтративного туберкулёза. Её образование связано с активизацией роста бактерий и усилением гиперчувствительности к антигенам Mycobacterium tuberculosis. При этом в поражённой зоне усиливается процесс фиброзообразования, который изолирует очаг от здоровой ткани. Чаще всего такие изменения происходят на фоне обострения туберкулёзного процесса, вызванного недостаточной длительностью лечения, неправильным подбором препаратов или частыми перерывами в химиотерапии[4].
Формирование туберкулемы начинается с воспаления вокруг казеозных очагов. Это приводит к появлению инфильтрата с казеозным некрозом в центре. Постепенно инфильтрат инкапсулируется, образуя туберкулему. Особенно часто она формируется из округлых инфильтратов, когда объём казеозных масс увеличивается, а окружающая поражённая зона уменьшается. Вокруг очага образуется капсула из двух слоёв: внутренний грануляционный и внешний фиброзный. Со временем грануляционный слой становится тоньше, а затем полностью исчезает. Выделяют истинные и ложные туберкулёмы[4].
Среди истинных туберкулём выделяют несколько видов:
- Солитарные — представляют собой одиночный казеозный фокус, окружённый капсулой.
- Слоистые — состоят из казеозного ядра, окружённого концентрическими фиброзными слоями, которые указывают на волнообразное течение процесса.
- Конгломератные — включают несколько казеозных очагов, объединённых общей капсулой, и имеют неправильную форму[4].
- Инфильтративно-пневмонические — воспалительные инфильтраты с казеозным некрозом, которые со временем инкапсулируются, образуя устойчивую структуру[5].
Прогрессирование туберкулемы сопровождается образованием полости распада, перифокальной инфильтрацией и появлением свежих очагов в окружающей лёгочной ткани. Полость распада чаще образуется на периферии туберкулемы, где микроциркуляция лучше сохраняется. При разрушении капсулы и сообщении очага с бронхом казеозные массы отторгаются в просвет бронха. Это может привести к развитию казеозной пневмонии или кавернозного туберкулёза, который впоследствии может трансформироваться в фиброзно-кавернозный туберкулёз[4].
Псевдотуберкулёма, или ложная туберкулёма, представляет собой каверну, заполненную казеозными массами, клетками и лимфой. В отличие от истинной туберкулёмы, она имеет толстую капсулу и не содержит элементов лёгочной ткани[4].
При регрессировании туберкулёма уменьшается в размерах, казеозные массы становятся плотнее и могут пропитываться солями кальция, формируя плотный фиброзный очаг или участок пневмофиброза. Иногда остаётся небольшая полость, которая впоследствии закрывается рубцом[4].
Клиническая картина[править]
Выделяют три клинических варианта течения туберкулём:
- регрессирующее,
- стабильное,
- прогрессирующее[2].
Туберкулёмы со стабильным течением протекают бессимптомно, не подвергаясь изменениям[6]. При прогрессирующем течении у больных отмечается слабость, снижение аппетита, субфебрильная температура, боли в груди, кашель сухой или со скудным выделением мокроты, возможно кровохарканье[4][6][7]. При аускультации можно выслушать немногочисленные и непостоянные влажные хрипы. Развитие дренажного эндобронхита сопровождается появлением сухих хрипов[4].
Диагностика[править]
Лабораторная диагностика[править]
Общий анализ крови — незначительный лейкоцитоз, лимфопения, ускорение СОЭ[6].
Туберкулиновые пробы положительные, часто гиперергические (выраженная реакция)[6].
Бактериологическое исследование мокроты при туберкулёме малоэффективно из-за низкого уровня бактериовыделения. Для их выявления необходимы методы люминесцентной микроскопии и посева. Микобактерии чаще обнаруживаются в фазе распада[4].
Инструментальная диагностика[править]
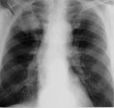
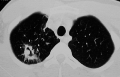
Рентгенологическая картина при туберкулёме зависит от типа и фазы развития. Чаще всего локализуется в I, II и VI сегментах лёгкого.
Затемнение при солитарной туберкулёме имеет округлую форму с чёткими и ровными контурами, средней интенсивности, при конгломератной — неправильную форму с полициклическим контуром. Контуры туберкулёмы обычно чёткие, однако их размытость указывает на перифокальную инфильтрацию, свидетельствующую о прогрессировании процесса. При этом могут наблюдаться пути к корню лёгкого в виде уплотнений по ходу сосудов и бронхов, а также очаги обсеменения. Негомогенность тени туберкулёмы объясняется неоднородностью казеозных масс: наличием фиброзных тяжей, кальцинатов и участков разрушения. В окружающей ткани часто выявляются немногочисленные полиморфные очаги и пневмофиброз[4][7].
При распаде туберкулёмы нередко образуется серповидная деструкция, расположенная у нижневнутреннего полюса. Также может появляться округлая или овальная полость в центральной части образования. В некоторых случаях распад сопровождается обильным выделением казеозных масс, что приводит к формированию каверны на месте туберкулёмы[6].
Дифференциальная диагностика[править]
- Периферический рак
- Гамартохондрома
- Солитарный метастаз
- Ретенционная киста
- Эхинококковая киста
- Карциноид
- Аспергиллома лёгких
- Шаровидная пневмония
- Внутрилёгочная артериовенозная аневризма[4][6]
Лечение[править]
Консервативное лечение[править]
Длительная специфическая химиотерапия. Режим химиотерапии и длительность лечения определяют в соответствии с региональной и индивидуальной чувствительностью к микобактериям. Основными препаратами являются изониазид, рифампицин, пиразинамид и этамбутанол. Стандартный курс длится не менее 6 месяцев[8].
Хирургическое лечение[править]
- Показания к хирургическому вмешательству
- туберкулёмы лёгкого более 2—3 см,
- склонность к прогрессированию,
- резистентность к химиотерапии в течение 4—6 месяцев,
- наличие множественных очагов.
- Виды хирургических вмешательств
- Малые резекции лёгких (сегментарная, краевая, клиновидная, прецизионная) при туберкулёмах диаметром более 2—3 см.
- Лобэктомия при туберкулёмах с распадом и обсеменением в пределах доли или при множественных туберкулёмах в одной доле[7].
Прогноз[править]
При своевременном лечении, включая хирургическое вмешательство, клиническое выздоровление достигается в 95 % случаев, а вероятность рецидивов крайне мала. Однако без необходимой терапии туберкулёма лёгкого редко регрессирует самостоятельно и чаще всего со временем переходит в активные формы туберкулёза[8].
Исход[править]
- Переход в кавернозный туберкулёз или казеозную пневмонию
- Фиброз и кальцификация[4]
Примечания[править]
- ↑ 1,0 1,1 Справочник по клинической хирургии, 1967, с. 326.
- ↑ 2,0 2,1 Стаханов В. А., Каторгин Н. А. Построение диагноза у больного туберкулёзом органов дыхания в соответствии с клинической классификацией. Учебное пособие. — М.: ГБОУ ВПО РНИМУ им. Н. И. Пирогова Минздрава России, 2012. — С. 28. — 72 с. — ISBN 978-5-905485-39-8.
- ↑ Холодок, Григоренко, с. 126.
- ↑ 4,00 4,01 4,02 4,03 4,04 4,05 4,06 4,07 4,08 4,09 4,10 4,11 4,12 4,13 Перельман М. И., Богадельникова И.В. Фтизиатрия: учебник. — 4-е изд. — М.: ГЭОТАР-Медиа, 2015. — С. 150—157. — 448 с. — ISBN 978-5-9704-2493-3.
- ↑ Холодок О. А., Григоренко А. А., Черемкин М. И. Туберкулема легкого как форма туберкулезного процессарус. // Бюллетень физиологии и патологии дыхания : Журнал. — 2014. — № 53. — С. 126—131. — ISSN 1998-5029.
- ↑ 6,0 6,1 6,2 6,3 6,4 6,5 Мишин В. Ю., Завражнов С. П., Митронин А. В., Григорьев Ю. Г., Аксенова К. И., Дейкина О. Н., Мишина А. В., Морозов И. А. Фтизиатрия: учебник. — 2-е изд. — М.: ГЭОТАР-Медиа, 2015. — С. 341—346. — 520 с. — ISBN 978-5-9704-3229-7.
- ↑ 7,0 7,1 7,2 Перельман М. И. Фтизиатрия. Национальное руководство. — 2007. — 512 с. — ISBN 978-5-9704-0490-4.
- ↑ 8,0 8,1 ФГБОУ ВПО ИГМУ Минздрава России Туберкулема легкихрус.. Иркутский государственный медицинский университет (2021). Проверено 30 декабря 2024.
Литература[править]
- Туберкулома (казеома) лёгких // Справочник по клинической хирургии / Под общей редакцией действительного члена АМН СССР проф. В. И. Стручкова. — М.: Медицина, 1967. — С. 326—328. — 520 с. — 100 000 экз.
- Холодок Олег Александрович, Григоренко Алексей Александрович, Черемкин Михаил Иванович Туберкулёма лёгкого как форма туберкулёзного процесса // Бюллетень физиологии и патологии дыхания. — 2014. — В. 53. — С. 126–131. — ISSN 1998-5029.
- Общероссийская общественная организация «Российское общество фтизиатров», Национальная ассоциация некоммерческих организаций фтизиатров «Ассоциация фтизиатров» Туберкулёз у взрослых. MedElement (2022). Проверено 13 августа 2022.
Одним из источников, использованных при создании данной статьи, является статья из википроекта «Рувики» («ruwiki.ru») под названием «Туберкулёма», расположенная по адресу:
Материал указанной статьи полностью или частично использован в Циклопедии по лицензии CC-BY-SA 4.0 и более поздних версий. Всем участникам Рувики предлагается прочитать материал «Почему Циклопедия?». |


